Learn More
Description
Specifications
Specifications
| Antigen | GCNT7 |
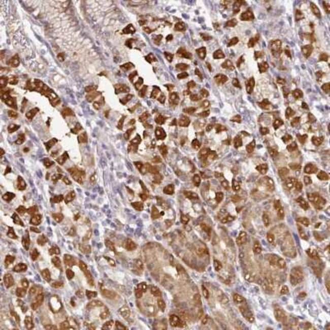
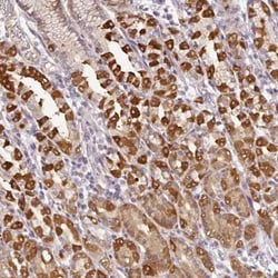
| Applications | Western Blot, Immunohistochemistry, Immunohistochemistry (Paraffin) |
| Classification | Polyclonal |
| Conjugate | Unconjugated |
| Dilution | Western Blot 0.04-0.4 μg/mL, Immunohistochemistry 1:200 - 1:500, Immunohistochemistry-Paraffin 1:200 - 1:500 |
| Formulation | PBS (pH 7.2), 40% Glycerol |
| Gene Alias | beta-1,3-galactosyl-O-glycosyl-glycoproteinbeta-1,6-N-acetylglucosaminyltransferase 7, C20orf105, chromosome 20 open reading frame 105, dJ1153D9.2, EC 2.4.1, EC 2.4.1.-, EC 2.4.1.150, glucosaminyl (N-acetyl) transferase family member 7 |
| Host Species | Rabbit |
| Immunogen | This antibody was developed against a recombinant protein corresponding to amino acids: TNREIIHYIRSKWSDKNITPGVIQPLHIKSKTSQSHLEFVPKGSIYAPPNNRFKDKPP |
| Purification Method | Immunogen affinity purified |
| Show More |
By clicking Submit, you acknowledge that you may be contacted by Fisher Scientific in regards to the feedback you have provided in this form. We will not share your information for any other purposes. All contact information provided shall also be maintained in accordance with our Privacy Policy.
