Learn More
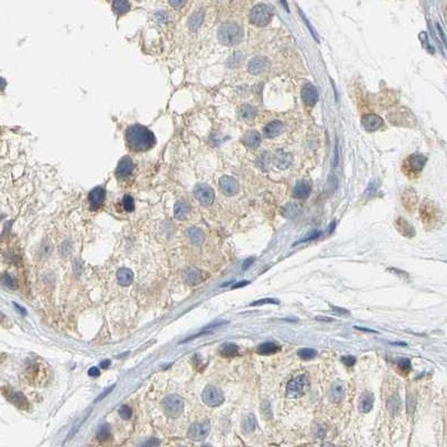
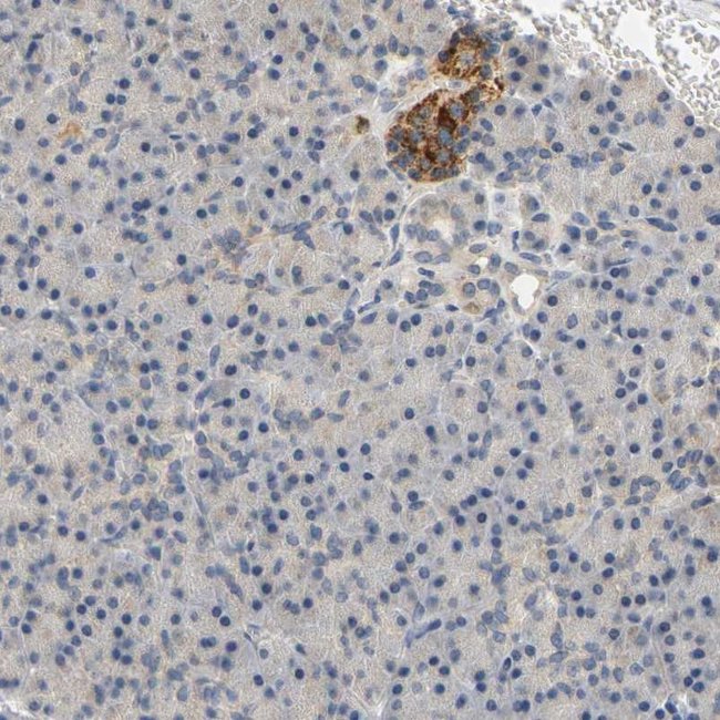
Invitrogen™ GDAP1 Polyclonal Antibody

Description
Immunogen sequence: PLSEHNEPWF MRLNSTGEVP VLIHGENIIC EATQIIDYLE QTFLDERTPR LMPDKESMYY Highest antigen sequence identity to the following orthologs: Mouse - 93%, Rat - 97%.
Specifications
Specifications
| Antigen | GDAP1 |
| Applications | Immunohistochemistry (Paraffin), Western Blot, Immunocytochemistry |
| Classification | Polyclonal |
| Concentration | 0.2 mg/mL |
| Conjugate | Unconjugated |
| Formulation | PBS with 40% glycerol and 0.02% sodium azide; pH 7.2 |
| Gene | GDAP1 |
| Gene Accession No. | Q8TB36 |
| Gene Alias | Charcot-Marie-Tooth neuropathy 4A; CMT4; CMT4A; CMTRIA; ganglioside induced differentiation associated protein 1; ganglioside-induced differentiation-associated protein 1; ganglioside-induced differentiation-associated-protein 1; Gdap1 |
| Gene Symbols | GDAP1 |
| Show More |
By clicking Submit, you acknowledge that you may be contacted by Fisher Scientific in regards to the feedback you have provided in this form. We will not share your information for any other purposes. All contact information provided shall also be maintained in accordance with our Privacy Policy.