Learn More
Invitrogen™ GDAP1 Polyclonal Antibody

Rabbit Polyclonal Antibody
Supplier: Invitrogen™ PA5109760
Description
Immunogen sequence: MRLNSTGEVP VLIHGENIIC EATQIIDYLE QTFLDERTPR LMPDKESMYY PRVQHYRELL DSLPMDAYTH GCILHPELTV DSMIPAYATT RIRSQIGNTE SELKKLAEEN PDLQEAYIAK QKRLKSKLLD HDNVKYLKKI LDELEKVLDQ VETELQRRNE ETPEEGQQPW LCGESFTLAD VSLAVTLHRL KFLGFARRNW GNGKRPNLET YYERVLKRKT FNKVL.
Glutathione S-transferases (GSTs) function to conjugate reduced glutathione to many exogenous and endogenous hydrophobic electrophiles. Although it shares the carboxy and amino-terminal glutathione S-transferase domains, GDAP1 (ganglioside-induced differentiation-associated protein 1) is characterized as a GST-like protein because it contains an extended GST domain II and a predicted transmembrane domain, two characteristics which are unusual for GST family members. GDAP1 may function in a signal transduction pathway that is responsible for ganglioside-induced neurite differentiation and also may play a role in protecting myelin membranes from free-radical damage. Mutations in the gene encoding GDAP1 is the cause of many forms of Charcot-Marie-Tooth disease, a common inherited disorder of the peripheral nervous system that is characterized by reduced nerve conduction velocities, slow progressive distal muscle atrophy and absent deep tendon reflexes.
Specifications
| GDAP1 | |
| Polyclonal | |
| Unconjugated | |
| GDAP1 | |
| Charcot-Marie-Tooth neuropathy 4A; CMT4; CMT4A; CMTRIA; ganglioside induced differentiation associated protein 1; ganglioside-induced differentiation-associated protein 1; ganglioside-induced differentiation-associated-protein 1; Gdap1 | |
| Rabbit | |
| Affinity chromatography | |
| RUO | |
| 14545, 312890, 54332 | |
| -20°C, Avoid Freeze/Thaw Cycles | |
| Liquid |
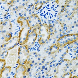
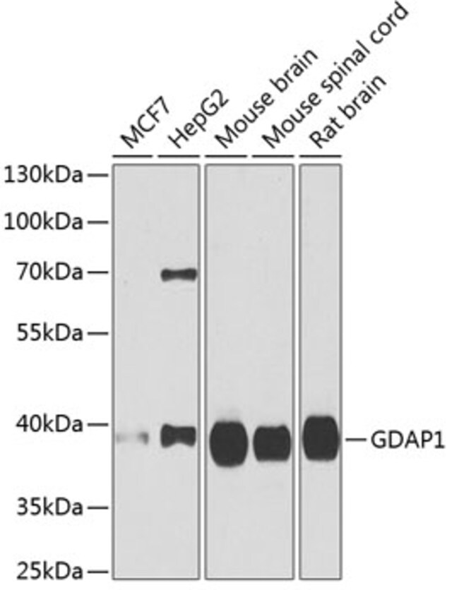
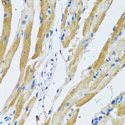
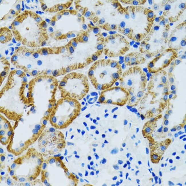
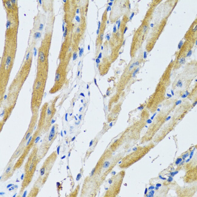
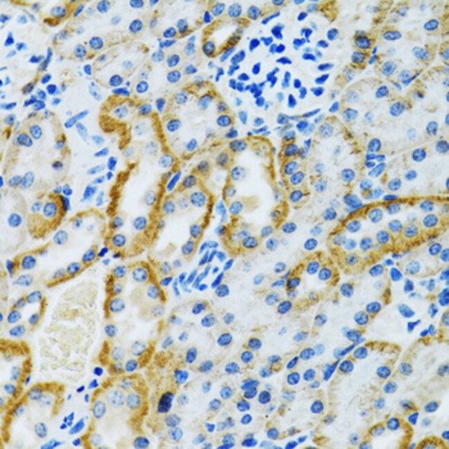
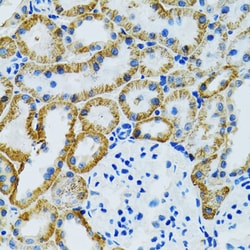
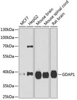
| ELISA, Immunohistochemistry (Paraffin), Western Blot | |
| 0.33 mg/mL | |
| PBS with 50% glycerol and 0.02% sodium azide; pH 7.3 | |
| O88741, Q8TB36 | |
| GDAP1 | |
| Recombinant fusion protein containing a sequence corresponding to amino acids 1-225 of human GDAP1 (NP_001035808.1). | |
| 100 μL | |
| Primary | |
| Human, Mouse, Rat | |
| Antibody | |
| IgG |
Safety and Handling
Your input is important to us. Please complete this form to provide feedback related to the content on this product.