Learn More
Invitrogen™ Gelsolin Recombinant Rabbit Monoclonal Antibody (5O10O1)

Description
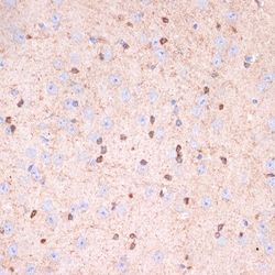
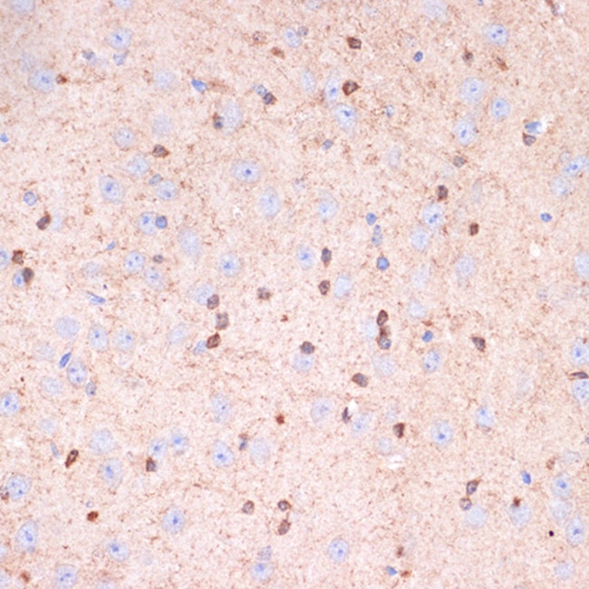
Positive test controls include: C2C12, Mouse lung, HeLa, A-549, RD. The target is usually found in the following locations: Cytoplasm, Secreted, cytoskeleton. Immunogen sequence: DQTDGLGLSY LSSHIANVER VPFDAATLHT STAMAAQHGM DDDGTGQKQI WRIEGSNKVP VDPATYGQFY GGDSYIILYN YRHGGRQGQI IYNWQGAQST Q.
Specifications
Specifications
| Antigen | Gelsolin |
| Applications | ELISA, Immunohistochemistry (Paraffin), Western Blot |
| Classification | Recombinant Monoclonal |
| Clone | 5O10O1 |
| Concentration | 1.5 mg/mL |
| Conjugate | Unconjugated |
| Formulation | PBS with 0.05% BSA, 50% glycerol and 0.02% sodium azide; pH 7.3 |
| Gene | GSN |
| Gene Accession No. | P06396, P13020 |
| Gene Alias | Actin-depolymerizing factor; ADF; ADFBrevin; AGEL; Brevin; DKFZp313L0718; gelsolin; gelsolin (amyloidosis, Finnish type); Gsb; Gsn; hypothetical protein LOC535077; plasma gelsolin precursor; RP11-477J21.1 |
| Show More |
By clicking Submit, you acknowledge that you may be contacted by Fisher Scientific in regards to the feedback you have provided in this form. We will not share your information for any other purposes. All contact information provided shall also be maintained in accordance with our Privacy Policy.