Promotional price valid on web orders only. Your contract pricing may differ. Interested in signing up for a dedicated account number?
Learn More
Learn More
Invitrogen™ Gemin 3 Polyclonal Antibody

Rabbit Polyclonal Antibody
Supplier: Invitrogen™ PA529198
Description
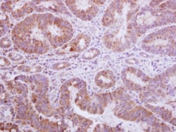
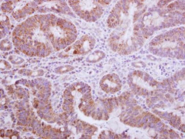
Recommended positive controls: A549, HeLa, HepG2, HCT116. Predicted reactivity: Bovine (85%). Store product as a concentrated solution. Centrifuge briefly prior to opening the vial.
Gemin 3 is a member of the DEAD box protein family which are characterized by the conserved motif Asp-Glu-Ala-Asp (DEAD) and are putative RNA helicases. DEAD box proteins such as Gemin 3 are implicated in a number of cellular processes involving alteration of RNA secondary structure such as translation initiation, nuclear and mitochondrial splicing, and ribosome and spliceosome assembly. Based on their distribution patterns, some members of DEAD box family are believed to be involved in embryogenesis, spermatogenesis, and cellular growth and division. Gemin 3 has an ATPase activity and a component of the survival of motor neurons (SMN) complex. The Gemin 3 protein may play a catalytic role in the function of the SMN complex on RNPs. Diseases associated with Gemin 3 protein dysfunction include spinal muscular dystrophy and muscular atrophy.
Specifications
| Gemin 3 | |
| Polyclonal | |
| Unconjugated | |
| Ddx20 | |
| component of gems 3; DDX 20; DDX20; DEAD (Asp-Glu-Ala-Asp) box polypeptide 20; DEAD box protein 20; DEAD box protein DP 103; DEAD/H (Asp-Glu-Ala-Asp/His) box polypeptide 20; DEAD/H (Asp-Glu-Ala-Asp/His) box polypeptide 20, 103kD; DEAD/H BOX 20; DEAD-box helicase 20; DEAD-box protein DP103; DKFZP434H052; DP 103; Dp103; GEMIN3; Gemin-3; I79_021005; probable ATP-dependent RNA helicase DDX20; putative ATP-dependent RNA helicase DDX20; regulator of steroidogenic factor 1; ROSF-1; SMN-interacting protein | |
| Rabbit | |
| Antigen affinity chromatography | |
| RUO | |
| 11218 | |
| Store at 4°C short term. For long term storage, store at -20°C, avoiding freeze/thaw cycles. | |
| Liquid |
| Immunohistochemistry (Paraffin), Western Blot | |
| 0.65 mg/mL | |
| 0.1M tris glycine with 20% glycerol and 0.01% thimerosal; pH 7 | |
| Q9UHI6 | |
| Ddx20 | |
| Recombinant protein encompassing a sequence within the center region of human Gemin 3. The exact sequence is proprietary. | |
| 100 μL | |
| Primary | |
| Human | |
| Antibody | |
| IgG |
Safety and Handling
WARNING: Cancer - www.P65Warnings.ca.gov
Product Content Correction
Your input is important to us. Please complete this form to provide feedback related to the content on this product.
Product Title
Spot an opportunity for improvement?Share a Content Correction