Promotional price valid on web orders only. Your contract pricing may differ. Interested in signing up for a dedicated account number?
Learn More
Learn More
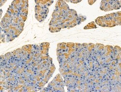
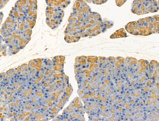
GLS2 Polyclonal Antibody

GLS2 Polyclonal Antibody
Supplier: Thermo Scientific PA5115292
Description
GLS2 Polyclonal Antibody for Western Blot, ICC/IF, IHC (PFA)

Specifications
GLS2 | |
Polyclonal | |
Unconjugated | |
Gls2 | |
A330074B06Rik; AI195532; breast cell glutaminase; Ga; GLS; GLS2; glutaminase 2; glutaminase 2 (liver, mitochondrial); glutaminase GA; glutaminase I; glutaminase liver isoform, mitochondrial; hLGA; Kiaa4146; L hL L-glutaminase; L hLGA; LGA; L-glutaminase; L-glutamine amidohydrolase; liver mitochondrial glutaminase; phosphate-activated glutaminase; phosphate-dependent glutaminase | |
Rabbit | |
Affinity Chromatography | |
RUO | |
192268, 216456, 27165 | |
-20°C | |
Liquid |
Immunohistochemistry (Paraffin), Western Blot, Immunocytochemistry | |
1 mg/mL | |
PBS with 50% glycerol and 0.02% sodium azide | |
P28492, Q571F8, Q9UI32 | |
Gls2 | |
A synthesized peptide derived from human GLS2(Accession Q9UI32), corresponding to amino acid residues L31-A81. | |
100 μL | |
Primary | |
Human, Mouse, Rat | |
Antibody | |
IgG |
Product Content Correction
Your input is important to us. Please complete this form to provide feedback related to the content on this product.
Product Title
Spot an opportunity for improvement?Share a Content Correction