Learn More
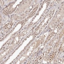
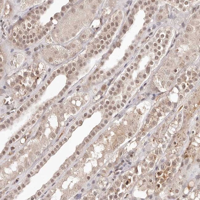
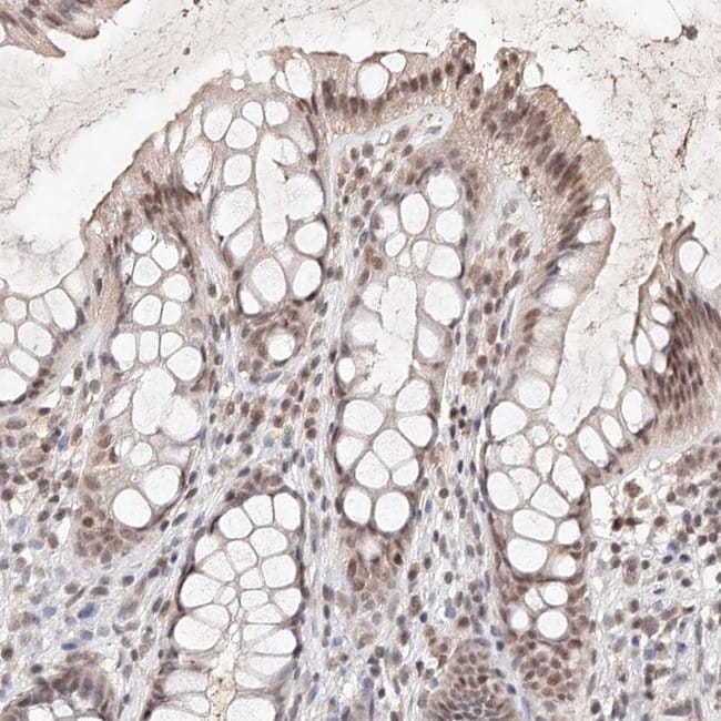
Invitrogen™ GLTSCR1L Polyclonal Antibody

Description
Immunogen sequence: MFNQEERASL SRDKRLALVD PEGFQADFCC SFKLDKAAHE TQFGRSDQHG SKASSSLQPP AKAQGRDRAK TGVTEPMN Highest antigen sequence identity to the following orthologs: Mouse - 76%, Rat - 78%.
Specifications
Specifications
| Antigen | GLTSCR1L |
| Applications | Immunohistochemistry (Paraffin), Immunocytochemistry |
| Classification | Polyclonal |
| Concentration | 0.2 mg/mL |
| Conjugate | Unconjugated |
| Formulation | PBS with 40% glycerol and 0.02% sodium azide; pH 7.2 |
| Gene | BICRAL |
| Gene Accession No. | Q6AI39 |
| Gene Alias | BICRAL; BRD4-interacting chromatin-remodeling complex-associated protein-like; Glioma tumor suppressor candidate region gene 1 protein-like; GLTSCR1 like; GLTSCR1L; GLTSCR1-like protein; KIAA0240 |
| Gene Symbols | BICRAL |
| Show More |
By clicking Submit, you acknowledge that you may be contacted by Fisher Scientific in regards to the feedback you have provided in this form. We will not share your information for any other purposes. All contact information provided shall also be maintained in accordance with our Privacy Policy.