Promotional price valid on web orders only. Your contract pricing may differ. Interested in signing up for a dedicated account number?
Learn More
Learn More
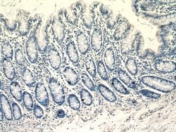
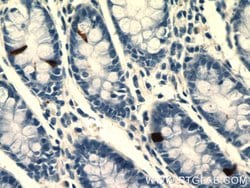
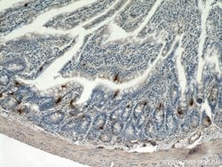
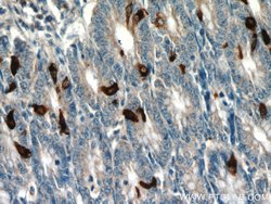
Glucagon Rabbit anti-Human, Mouse, Rat, Polyclonal, Proteintech

Rabbit Polyclonal Antibody
Supplier: Proteintech Group Inc 159541AP150UL

Description
The protein encoded by this gene is actually a preproprotein that is cleaved into four distinct mature peptides. One of these, glucagon, is a pancreatic hormone that counteracts the glucose-lowering action of insulin by stimulating glycogenolysis and gluconeogenesis. Glucagon is a ligand for a specific G-protein linked receptor whose signalling pathway controls cell proliferation. Two of the other peptides are secreted from gut endocrine cells and promote nutrient absorption through distinct mechanisms. Finally, the fourth peptide is similar to glicentin, an active enteroglucagon.Tissue specificity: Glucagon is secreted in the A cells of the islets of Langerhans. GLP-1, GLP-2, oxyntomodulin and glicentin are secreted from enteroendocrine cells throughout the gastrointestinal tract. GLP1 and GLP2 are also secreted in selected neurons in the brain.Specifications
Glucagon | |
Polyclonal | |
Unconjugated | |
GCG | |
GCG, GLP 2, GLP1, GLP2, glucagon, GRPP, GRPP Oxyntomodulin, OXM, Proglucagon | |
Rabbit | |
Antigen Affinity Chromatography | |
RUO | |
14526, 24952, 2641 | |
-20°C | |
Liquid |
Immunocytochemistry, Immunofluorescence, Immunohistochemistry (Paraffin), Western Blot | |
0.24 mg/mL | |
PBS with 50% glycerol and 0.02% sodium azide; pH 7.3 | |
P01275, P06883, P55095 | |
Gcg | |
Glucagon Fusion Protein Ag8677 | |
150 μL | |
Primary | |
Human, Mouse, Rat | |
Antibody | |
IgG |
Product Content Correction
The Fisher Scientific Encompass Program offers items which are not part of our distribution portfolio. These products typically do not have pictures or detailed descriptions. However, we are committed to improving your shopping experience. Please use the form below to provide feedback related to the content on this product.
Product Title
Spot an opportunity for improvement?Share a Content Correction