Promotional price valid on web orders only. Your contract pricing may differ. Interested in signing up for a dedicated account number?
Learn More
Learn More
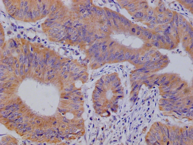
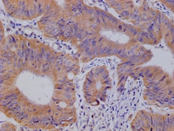
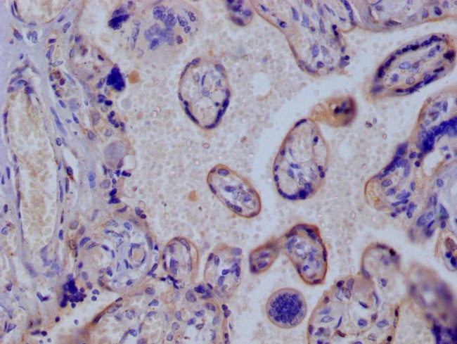
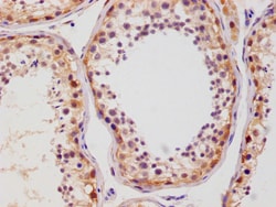
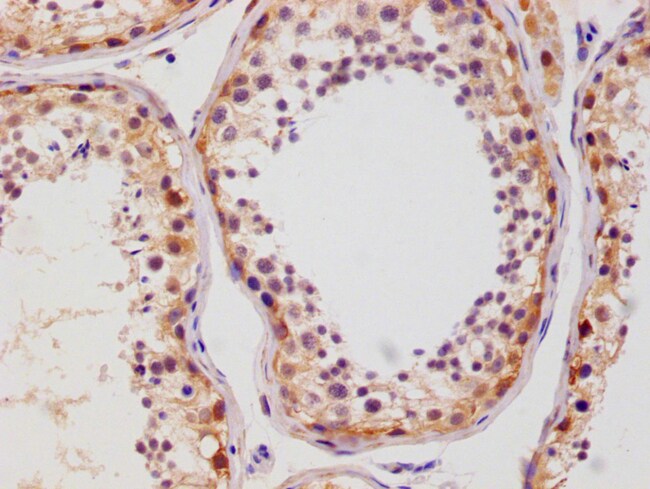
Invitrogen™ GLUT3 Recombinant Rabbit Monoclonal Antibody (14B1)

Rabbit Recombinant Monoclonal Antibody
Supplier: Invitrogen™ MA550073
Description
GLUT3 Recombinant Monoclonal Antibody for Western Blot, IHC (P), Flow, ELISA
Glucose is fundamental to the metabolism of mammalian cells. Several glucose transporter protein (Glut) isoforms have been identified and shown to function in response to insulin and IGF1 induced signaling. GLUT3 is detectable in a few normal cell type spermatids in testis with active spermatogenesis, placental trophoblast membranes, and neurons in brain. GLUT3 staining is also detectable in human cancers including those of the ovary, lung, and testis.
Specifications
| GLUT3 | |
| Recombinant Monoclonal | |
| 0.25 mg/mL | |
| PBS with 0.05% BSA, 50% glycerol and 0.02% sodium azide; pH 7.4 | |
| P11169 | |
| SLC2A3 | |
| A synthesized peptide derived from human SLC2A3. | |
| 100 μL | |
| Primary | |
| Human | |
| Antibody | |
| IgG |
| ELISA, Flow Cytometry, Immunohistochemistry (Paraffin), Western Blot | |
| 14B1 | |
| Unconjugated | |
| SLC2A3 | |
| AA408729; AL023014; AL024341; AU040424; C78366; FLJ90380; glucose transporter 3; glucose transporter type 3, brain; Glut3; Glut-3; Slc2a3; solute carrier family 2 (facilitated glucose transporter), member 3; Solute carrier family 2 A3 (neuron glucose transporter); solute carrier family 2 member 3; solute carrier family 2, facilitated glucose transporter member 3; solute carrier family 2, member 2; solute carrier family 2, member 3 | |
| Rabbit | |
| Affinity chromatography | |
| RUO | |
| 6515 | |
| -20°C or -80°C if preferred | |
| Liquid |
Product Content Correction
Your input is important to us. Please complete this form to provide feedback related to the content on this product.
Product Title
Spot an opportunity for improvement?Share a Content Correction