Learn More
Invitrogen™ Glutamine Synthetase Recombinant Rabbit Monoclonal Antibody (HL2283)

Description
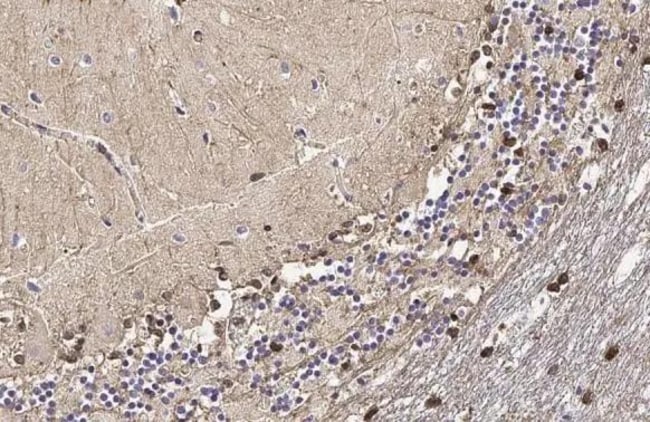
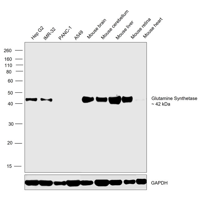
Glutamine Synthetase Recombinant Monoclonal Antibody for IHC (P), Western Blot
Specifications
Specifications
| Antigen | Glutamine Synthetase |
| Applications | Immunohistochemistry (Paraffin), Western Blot |
| Classification | Recombinant Monoclonal |
| Clone | HL2283 |
| Concentration | 1 mg/mL |
| Conjugate | Unconjugated |
| Formulation | PBS with no preservative |
| Gene | GLUL |
| Gene Accession No. | P09606, P15104, P15105, Q8HZM5 |
| Gene Alias | cell proliferation-inducing protein 59; GLNA; GLNS; Glul; GLUL protein; Glutamate ammonia ligase; glutamate decarboxylase; glutamate-ammonia ligase; glutamate--ammonia ligase; glutamate-ammonia ligase (glutamine synthase); glutamate-ammonia ligase (glutamine synthetase); glutamine synthase; glutamine synthetase; Glutamine synthetase (glutamate-ammonia ligase); glutamine synthetase 1; glutamine synthetase I; GS; Palmitoyltransferase GLUL; PIG43; PIG59; Proliferation inducing protein 43; proliferation-inducing protein 43 |
| Show More |
By clicking Submit, you acknowledge that you may be contacted by Fisher Scientific in regards to the feedback you have provided in this form. We will not share your information for any other purposes. All contact information provided shall also be maintained in accordance with our Privacy Policy.