Promotional price valid on web orders only. Your contract pricing may differ. Interested in signing up for a dedicated account number?
Learn More
Learn More
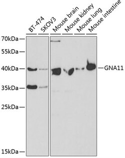
Invitrogen™ GNA11 Polyclonal Antibody

Rabbit Polyclonal Antibody
Supplier: Invitrogen™ PA5109776
Description
Immunogen sequence: ESKALFRTII TYPWFQNSSV ILFLNKKDLL EDKILYSHLV DYFPEFDGPQ RDAQAAREFI LKMFVDLNPD SDKIIYSHFT CATDTENIRF VFAAVKDTIL Q.
Heterotrimeric guanine nucleotide-binding proteins (G proteins) consist of α, β and γ subunits and mediate the effects of hormones, neurotransmitters, chemokines and sensory stimuli. To date, over 20 known Gα subunits have been classified into four families, Gα(s), Gα(i/o), Gα(q) and Gα(12), based on structural and functional similarities (1,2). Phosphorylation of Tyr356 of Gα(q)/Gα(11) is essential for activation of the G protein, since phenylalanine substitution for Tyr356 changes the interaction of Gα with receptors and abolishes ligand-induced IP3 formation (3).
Specifications
| GNA11 | |
| Polyclonal | |
| Unconjugated | |
| GNA11 | |
| Dsk7; E430025L19; FBH; FBH2; FHH2; g alpha-11; G protein subunit alpha 11; GA11; GNA11; Gna-11; G-protein subunit alpha-11; G-protein subunit GL2 alpha; Gq class; GTP-binding protein alpha-subunit; guanine nucleotide binding protein (G protein), alpha 11 (Gq class); guanine nucleotide binding protein alpha 11; guanine nucleotide binding protein, alpha 11; guanine nucleotide regulatory protein G alpha 11; guanine nucleotide-binding protein alpha 11; guanine nucleotide-binding protein alpha 11 subunit; guanine nucleotide-binding protein G(y) subunit alpha; Guanine nucleotide-binding protein subunit alpha-11; HHC2; HYPOC2 | |
| Rabbit | |
| Affinity chromatography | |
| RUO | |
| 14672, 2767, 81662 | |
| -20°C, Avoid Freeze/Thaw Cycles | |
| Liquid |
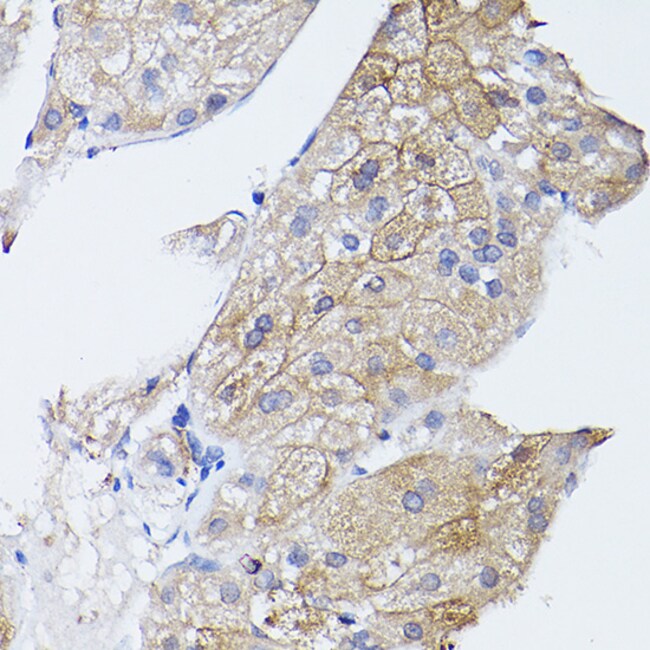
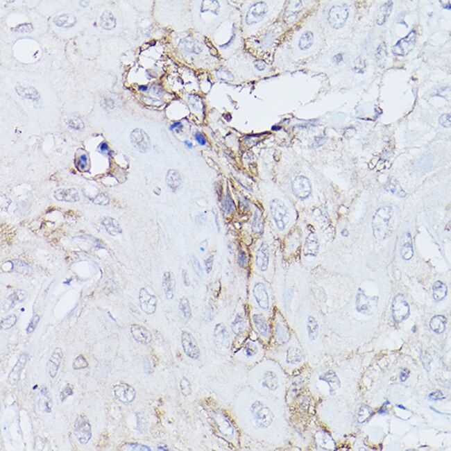
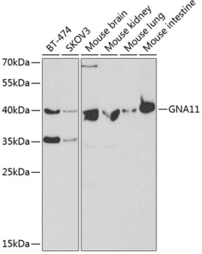
| ELISA, Immunohistochemistry (Paraffin), Western Blot | |
| 0.46 mg/mL | |
| PBS with 50% glycerol and 0.01% thimerosal; pH 7.3 | |
| P21278, P29992, Q9JID2 | |
| GNA11 | |
| Recombinant fusion protein containing a sequence corresponding to amino acids 250-350 of human GNA11 (NP_0020582). | |
| 100 μL | |
| Primary | |
| Human, Mouse, Rat | |
| Antibody | |
| IgG |
Safety and Handling
WARNING: Cancer - www.P65Warnings.ca.gov
Product Content Correction
Your input is important to us. Please complete this form to provide feedback related to the content on this product.
Product Title
Spot an opportunity for improvement?Share a Content Correction