Promotional price valid on web orders only. Your contract pricing may differ. Interested in signing up for a dedicated account number?
Learn More

MilliporeSigma™ Goα, Mouse, Unlabeled, Clone: 3D9.1,

Catalog No. MABS1691 Shop All MilliporeSigma Products
Change view
Click to view available options
Quantity:
100 μL
Conjugate:
Unconjugated
1 product options available for selection
Product selection table with 1 available options. Use arrow keys to navigate and Enter or Space to select.
Catalog No. Quantity Conjugate
MABS1691 100 μL Unconjugated
Use arrow keys to navigate between rows. Press Enter or Space to select a product option. 1 options available.
1 options
Catalog No. MABS1691 Supplier MilliporeSigma™ Supplier No. MABS1691

Mouse Monoclonal Antibody

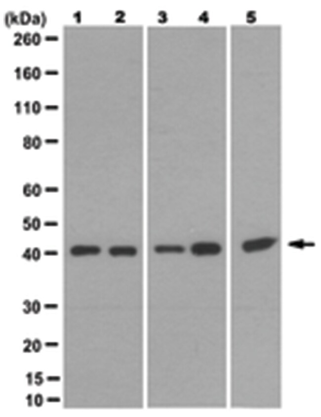
Guanine nucleotide-binding protein G(o) subunit alpha (UniProt P29777; also known as G(o)alpha) is encoded by the GNAO1 (also known as EIEE17) gene (Gene ID 2775) in human. Heterotrimeric G proteins are activated by G protein-coupled receptors (GPCRs) and are composed of alpha, beta, and gamma subunits. There exists also monomeric Ras superfamily of small GTPases that are commonly referred to as small G-proteins. G-proteins mediate signal transduction initiated by GPCRs. Ligand binding activates GPCRs by inducing a conformational change. The activated GPCRs catalyzes the GDP-to-GTP exchange of the G subunit, causing a dissociation of the G dimer from the now GTP-bound G subunit. The G subunit gradually hydrolyzes the bound GTP to GDP and eventually re-associates with G and re-starts the cycle. There exist at least 20 different G subunits, which are separated into four main groups, Gi, Gs, Gq, and G12/13. Five types of Gi alpha subunits exist, Gi (GNAI1, GNAI2, and GNAI3), Go (GNAO1), Gt (GNAT1 and GNAT2), Ggust (GNAT3), and Gz (GNAZ). Gi/o family members inhibit adenylyl cyclase and can reduce neuronal excitability through regulation of ion channels. G(o)alpha plays a key role in presynaptic inhibition of neurotransmitter release through a G-mediated suppression of voltage-gated Ca2+ channels. G(o)alpha is the most abundant G o protein in the mammalian brain, defective G(o)alpha function can result in neurological impairments.
TRUSTED_SUSTAINABILITY

Specifications

Antigen Goα
Applications Western Blot
Classification Monoclonal
Clone 3D9.1
Concentration Please refer to lot specific datasheet.
Conjugate Unconjugated
Formulation Mouse monoclonal hybridoma culture supernatant without preservatives.
Gene GNAO1, EIEE17
Gene Accession No. P29777
Host Species Mouse
Immunogen KLH-conjugated linear peptide corresponding to a sequence from the C-terminal region of human Go (G(o)alpha).
Purification Method Unpurified
Quantity 100 μL
Regulatory Status RUO
Research Discipline Signaling
Primary or Secondary Primary
Gene ID (Entrez) NP_066268
Test Specificity Clone 3D9.1 was raised against a C-terminal region sequence derived from human Go (G(o)alpha) spliced isoform Alpha-1. Cross-reactivity toward human/mouse/rat spliced isoform Alpha-2 (∽69% amino acid identity with spliced isoform Alpha-1) has not been confirmed.
Target Species Mouse
Content And Storage Stable for 1 year at -20°C from date of receipt. Handling Recommendations: Upon receipt and prior to removing the cap, centrifuge the vial and gently mix the solution. Aliquot into microcentrifuge tubes and store at -20°C. Avoid repeated freeze/thaw cycles, which may damage IgG and affect product performance.
Form Culture Supernatant
Isotype IgG1 κ
Show More Show Less

For Research Use Only. Not for use in diagnostic procedures.

Product Title
Select an issue

By clicking Submit, you acknowledge that you may be contacted by Fisher Scientific in regards to the feedback you have provided in this form. We will not share your information for any other purposes. All contact information provided shall also be maintained in accordance with our Privacy Policy.