Promotional price valid on web orders only. Your contract pricing may differ. Interested in signing up for a dedicated account number?
Learn More
Learn More
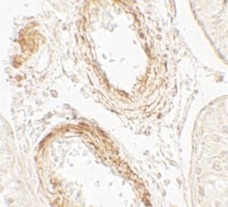
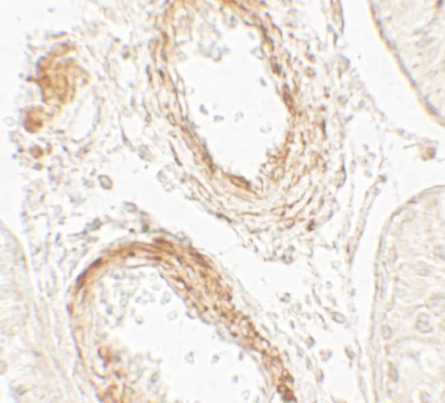
Invitrogen™ GOLGA5 Polyclonal Antibody

Rabbit Polyclonal Antibody
Supplier: Invitrogen™ PA534563
Description
A suggested positive control is human testis tissue lysate,. PA5-34563 can be used with blocking peptide PEP-1606.
The Golgi apparatus, which participates in glycosylation and transport of proteins and lipids in the secretory pathway, consists of a series of stacked cisternae (flattened membrane sacs). Interactions between the Golgi and microtubules are thought to be important for the reorganization of the Golgi after it fragments during mitosis. This gene encodes a member of the golgin family of proteins, whose members localize to the Golgi. This protein is a coiled-coil membrane protein that has been postulated to play a role in vesicle tethering and docking. Translocations involving this gene and the ret proto-oncogene have been found in tumor tissues; the chimeric sequences have been designated RET-II and PTC5.
Specifications
GOLGA5 | |
Polyclonal | |
Unconjugated | |
GOLGA5 | |
Cell proliferation-inducing gene 31 protein; GOLGA5; golgi autoantigen, golgin subfamily a, 5; golgi integral membrane protein 5; golgin A5; Golgin subfamily A member 5; Golgin-84; GOLIM5; PIG31; Protein Ret-II; Protein Sumiko; RET-fused gene 5; RET-fused gene 5 protein; RETII; ret-II; RFG5 | |
Rabbit | |
Antigen affinity chromatography | |
RUO | |
27277, 299258, 9950 | |
4°C | |
Liquid |
Immunohistochemistry, Western Blot | |
1 mg/mL | |
PBS with 0.02% sodium azide | |
Q3ZU82, Q8TBA6, Q9QYE6 | |
GOLGA5 | |
An 18 amino acid peptide near the carboxy terminus of human GOLGA5. | |
100 μg | |
Primary | |
Human, Mouse, Rat | |
Antibody | |
IgG |
Safety and Handling
WARNING: Cancer - www.P65Warnings.ca.gov
Product Content Correction
Your input is important to us. Please complete this form to provide feedback related to the content on this product.
Product Title
Spot an opportunity for improvement?Share a Content Correction