Promotional price valid on web orders only. Your contract pricing may differ. Interested in signing up for a dedicated account number?
Learn More
Learn More
Invitrogen™ GPAA1 Polyclonal Antibody

Rabbit Polyclonal Antibody
Supplier: Invitrogen™ PA530284
Description
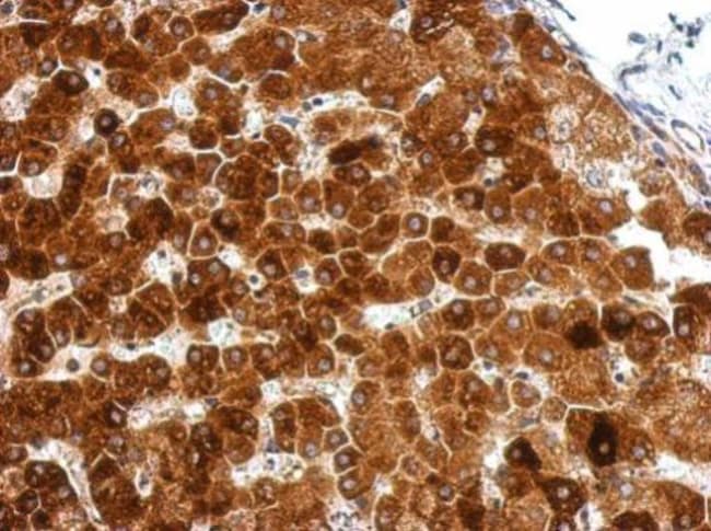
Recommended positive controls: HepG2. Predicted reactivity: Mouse (89%), Rat (89%), Rhesus Monkey (98%), Chimpanzee (98%), Bovine (91%). Store product as a concentrated solution. Centrifuge briefly prior to opening the vial.
Posttranslational glycosylphosphatidylinositol (GPI) anchor attachment serves as a general mechanism for linking proteins to the cell surface membrane. The protein encoded by this gene presumably functions in GPI anchoring at the GPI transfer step. The mRNA transcript is ubiquitously expressed in both fetal and adult tissues. The anchor attachment protein 1 contains an N-terminal signal sequence, 1 cAMP- and cGMP-dependent protein kinase phosphorylation site, 1 leucine zipper pattern, 2 potential N-glycosylation sites, and 8 putative transmembrane domains.
Specifications
| GPAA1 | |
| Polyclonal | |
| Unconjugated | |
| GPAA1 | |
| anchor attachment protein 1; anchor attachment protein 1 (Gaa1p, yeast) homolog; C80044; GAA1; GAA1 protein homolog; glycophosphatidylinositol anchor attachment 1; glycosylphosphatidylinositol anchor attachment 1; glycosylphosphatidylinositol anchor attachment 1 (GPAA1); glycosylphosphatidylinositol anchor attachment 1 protein; glycosylphosphatidylinositol anchor attachment protein 1 homolog; Gpaa1; GPAA1 protein; GPAA1P anchor attachment protein 1 homolog; GPI anchor attachment protein 1; GPI transamidase subunit; hGAA1; mGAA1 | |
| Rabbit | |
| Antigen affinity chromatography | |
| RUO | |
| 14731, 8733 | |
| Store at 4°C short term. For long term storage, store at -20°C, avoiding freeze/thaw cycles. | |
| Liquid |
| Immunohistochemistry (Paraffin), Western Blot | |
| 0.76 mg/mL | |
| PBS with 1% BSA, 20% glycerol and 0.01% thimerosal; pH 7 | |
| O43292, Q9WTK3 | |
| GPAA1 | |
| Recombinant protein encompassing a sequence within the center region of human GPAA1. The exact sequence is proprietary. | |
| 100 μL | |
| Primary | |
| Human, Mouse | |
| Antibody | |
| IgG |
Safety and Handling
WARNING: Cancer - www.P65Warnings.ca.gov
Product Content Correction
Your input is important to us. Please complete this form to provide feedback related to the content on this product.
Product Title
Spot an opportunity for improvement?Share a Content Correction