Promotional price valid on web orders only. Your contract pricing may differ. Interested in signing up for a dedicated account number?
Learn More
Learn More
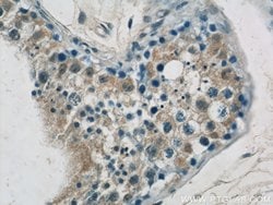
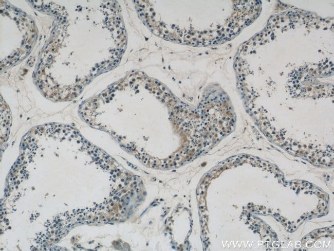
GPATCH2 Rabbit anti-Human, Mouse, Polyclonal, Proteintech

Rabbit Polyclonal Antibody
Supplier: Proteintech Group Inc 243661AP150UL
Description
The gene encodes a nuclear factor that may play a role in spermatogenesis and in tumor growth during breast cancer. The encoded protein contains a G-patch domain with an RNA binding motif. Alternative splicing results in multiple transcript variants.Specifications
| GPATCH2 | |
| Polyclonal | |
| Unconjugated | |
| GPATCH2 | |
| G patch domain containing 2, GPATC2, GPATCH2, RP11 361K17.1 | |
| Rabbit | |
| Antigen Affinity Chromatography | |
| RUO | |
| 55105, 67769 | |
| -20°C | |
| Liquid |
| Immunohistochemistry (Paraffin), Western Blot | |
| 0.51 mg/mL | |
| PBS with 50% glycerol and 0.1% sodium azide; pH 7.3 | |
| Q7TQC7, Q9NW75 | |
| GPATCH2 | |
| GPATCH2 Fusion Protein Ag21647 | |
| 150 μL | |
| Primary | |
| Human, Mouse | |
| Antibody | |
| IgG |
Product Content Correction
The Fisher Scientific Encompass Program offers items which are not part of our distribution portfolio. These products typically do not have pictures or detailed descriptions. However, we are committed to improving your shopping experience. Please use the form below to provide feedback related to the content on this product.
Product Title
Spot an opportunity for improvement?Share a Content Correction