Learn More
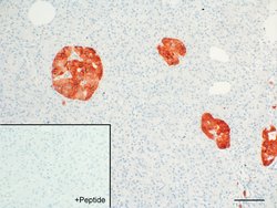
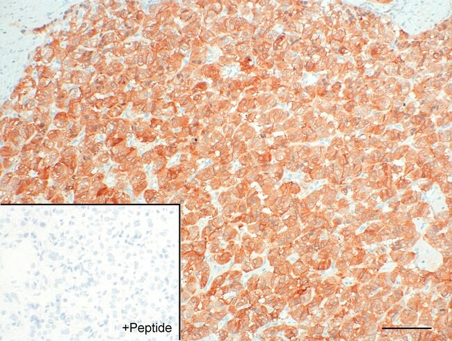
Invitrogen™ GPR30 Recombinant Rabbit Monoclonal Antibody (20H15L21)
Rabbit Recombinant Monoclonal Antibody
Supplier: Invitrogen™ 703480
 
            Description
This antibody is predicted to react with Mouse, Rat.
This gene is a member of the G-protein coupled receptor 1 family and encodes a multi-pass membrane protein that localizes to the endoplasmic reticulum. The protein binds estrogen, resulting in intracellular calcium mobilization and synthesis of phosphatidylinositol 3,4,5-trisphosphate in the nucleus. This protein therefore plays a role in the rapid nongenomic signaling events widely observed following stimulation of cells and tissues with estrogen. Alternate transcriptional splice variants which encode the same protein have been characterized. 
            Specifications
| GPR30 | |
| Recombinant Monoclonal | |
| 0.5 mg/mL | |
| PBS with 0.09% sodium azide; pH 7.4 | |
| Q99527 | |
| GPER1 | |
| Peptides corresponding to human GPR30 [1) aa353-aa375 2) aa2-aa19]. | |
| 100 μg | |
| Primary | |
| Human | |
| Antibody | |
| IgG | 
| Immunohistochemistry, Western Blot, Immunocytochemistry | |
| 20H15L21 | |
| Unconjugated | |
| GPER1 | |
| 6330420K13Rik; CEPR; Ceprl; chemoattractant receptor-like 2; chemokine receptor-like 2; CMKRL2; constitutively expressed peptide-like receptor; constitutively expressed peptide-like receptor like; DRY12; FEG-1; Flow-induced endothelial G-protein coupled receptor 1; G protein-coupled estrogen receptor 1; G protein-coupled receptor 30; GPCR-Br; GPER; GPER1; Gpr30; GPR41; G-protein coupled estrogen receptor 1; G-protein coupled receptor 30; G-protein coupled receptor 41; heptahelix receptor; IL8-related receptor DRY12; LERGU; LERGU2; leucine rich protein in GPR30 3'UTR; LyGPR; Lymphocyte-derived G-protein coupled receptor; membrane estrogen receptor; mER | |
| Rabbit | |
| Protein A | |
| RUO | |
| 2852 | |
| Store at 4°C short term. For long term storage, store at -20°C, avoiding freeze/thaw cycles. | |
| Liquid | 
The Fisher Scientific Encompass Program offers items which are not part of our distribution portfolio. These products typically do not have pictures or detailed descriptions. However, we are committed to improving your shopping experience. Please use the form below to provide feedback related to the content on this product.
 
                             
                             
                            