Learn More
Invitrogen™ GPR35 Polyclonal Antibody

Description
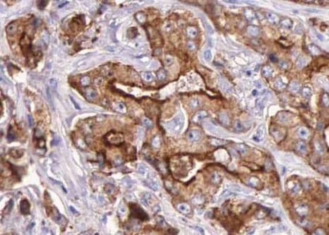
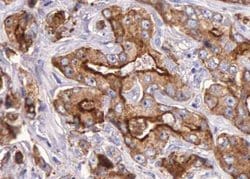
Antibody detects endogenous levels of total GPR35.
Specifications
Specifications
| Antigen | GPR35 |
| Applications | Immunohistochemistry (Paraffin), Western Blot, Immunocytochemistry |
| Classification | Polyclonal |
| Concentration | 1 mg/mL |
| Conjugate | Unconjugated |
| Formulation | PBS with 50% glycerol and 0.02% sodium azide; pH 7.4 |
| Gene | GPR35 |
| Gene Accession No. | Q9HC97 |
| Gene Alias | G protein-coupled receptor 35; Gpr35; G-protein coupled receptor 35; KPG_007; KYNA receptor; kynurenic acid receptor |
| Gene Symbols | GPR35 |
| Show More |
Safety and Handling
By clicking Submit, you acknowledge that you may be contacted by Fisher Scientific in regards to the feedback you have provided in this form. We will not share your information for any other purposes. All contact information provided shall also be maintained in accordance with our Privacy Policy.