Promotional price valid on web orders only. Your contract pricing may differ. Interested in signing up for a dedicated account number?
Learn More
Learn More
Invitrogen™ GPT Monoclonal Antibody (C4), Invitrogen™

Mouse Monoclonal Antibody
Supplier: Invitrogen™ MA550913
Description
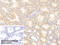
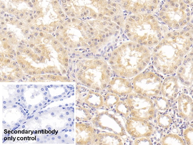
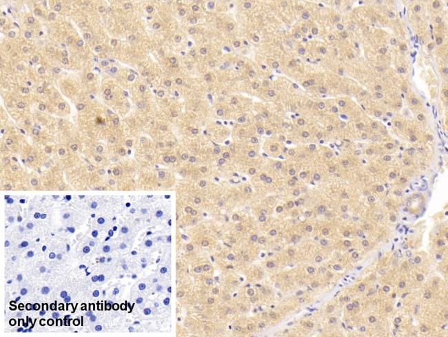
GPT(Glutamate-pyruvate transaminase), also known as alanine aminotransferase, catalyzes the reversible conversion of L-alanine and alpha-ketoglutarate to L-glutamate and pyruvate. This protein has 2 distinct molecular and genetic forms: one cytoplasmic (soluble) (GPT1) and one mitochondrial (GPT2). See ALTQTL1 and ALTQTL2 for information on quantitative trait loci influencing the plasma level of alanine aminotransferase.
Specifications
GPT | |
Monoclonal | |
1 mg/mL | |
PBS with 50% glycerol and 0.05% Proclin 300; pH 7.4 | |
P24298, P25409 | |
GPT | |
Recombinant Human ALT protein, Ile255-Thr492 + LEHHHHHH (Accession #P24298). | |
200 μL | |
Primary | |
Human, Rat | |
Antibody | |
IgG1 κ |
Immunohistochemistry (Paraffin), Western Blot | |
C4 | |
Unconjugated | |
GPT | |
1300007J06Rik; 2310022B03Rik; AAT1; alanine aminotransferase; alanine aminotransferase 1; ALT; ALT1; glutamate pyruvate transaminase 1; glutamic pyruvate transaminase; glutamic pyruvic transaminase (alanine aminotrasferase); glutamic pyruvic transaminase 1, soluble; glutamic pyruvic transaminase, soluble; glutamic-alanine transaminase 1; glutamic--alanine transaminase 1; glutamic-pyruvate transaminase (alanine aminotransferase); glutamic--pyruvic transaminase; glutamic--pyruvic transaminase 1; GPT; GPT 1; Gpt1; Gpt-1 | |
Mouse | |
Protein A/G | |
RUO | |
2875, 81670 | |
Store at 4°C short term. For long term storage, store at -20°C, avoiding freeze/thaw cycles. | |
Liquid |
Product Content Correction
Your input is important to us. Please complete this form to provide feedback related to the content on this product.
Product Title
Spot an opportunity for improvement?Share a Content Correction