Promotional price valid on web orders only. Your contract pricing may differ. Interested in signing up for a dedicated account number?
Learn More
Learn More
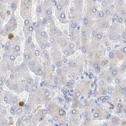
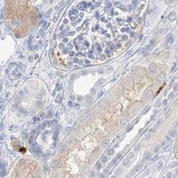
Invitrogen™ Grancalcin Polyclonal Antibody

Rabbit Polyclonal Antibody
Supplier: Invitrogen™ PA557124
Description
Immunogen sequence: MAYPGYGGGF GNFSIQVPGM QMGQPVPETG PAILLDGYSG PAYSDTYSSA GDSVYTYFSA V Highest antigen sequence identity to the following orthologs: Mouse - 64%, Rat - 64%.
This gene product, grancalcin, is a calcium-binding protein abundant in neutrophils and macrophages. It belongs to the penta-EF-hand subfamily of proteins which includes sorcin, calpain, and ALG-2. Grancalcin localization is dependent upon calcium and magnesium. In the absence of divalent cation, grancalcin localizes to the cytosolic fraction; with magnesium alone, it partitions with the granule fraction; and in the presence of magnesium and calcium, it associates with both the granule and membrane fractions, suggesting a role for grancalcin in granule-membrane fusion and degranulation.
Specifications
Grancalcin | |
Polyclonal | |
Unconjugated | |
Gca | |
5133401E04Rik; AI573844; Gca; GCL; grancalcin; grancalcin, EF-hand calcium binding protein; grancalcin, EF-hand calcium-binding protein; grancalcin, penta-EF-hand protein; null | |
Rabbit | |
Antigen affinity chromatography | |
RUO | |
25801 | |
Store at 4°C short term. For long term storage, store at -20°C, avoiding freeze/thaw cycles. | |
Liquid |
Immunohistochemistry (Paraffin), Western Blot, Immunocytochemistry | |
0.1 mg/mL | |
PBS with 40% glycerol and 0.02% sodium azide; pH 7.2 | |
P28676 | |
Gca | |
Recombinant protein corresponding to Human Grancalcin. Recombinant protein control fragment (Product #RP-96012). | |
100 μL | |
Primary | |
Human | |
Antibody | |
IgG |
Safety and Handling
WARNING: Cancer - www.P65Warnings.ca.gov
Product Content Correction
Your input is important to us. Please complete this form to provide feedback related to the content on this product.
Product Title
Spot an opportunity for improvement?Share a Content Correction