Promotional price valid on web orders only. Your contract pricing may differ. Interested in signing up for a dedicated account number?
Learn More
Learn More
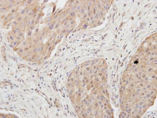
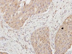
Invitrogen™ Granzyme A Polyclonal Antibody

Rabbit Polyclonal Antibody
Supplier: Invitrogen™ PA530054
Description
Recommended positive controls: A549, HeLa, HepG2, HCT116. Store product as a concentrated solution. Centrifuge briefly prior to opening the vial.
Cytolytic T lymphocytes (CTL) and natural killer (NK) cells share the remarkable ability to recognize, bind, and lyse specific target cells. They are thought to protect their host by lysing cells bearing on their surface 'nonself' antigens, usually peptides or proteins resulting from infection by intracellular pathogens. The protein described here is a T cell- and natural killer cell-specific serine protease that may function as a common component necessary for lysis of target cells by cytotoxic T lymphocytes and natural killer cells.
Specifications
| Granzyme A | |
| Polyclonal | |
| Unconjugated | |
| GZMA | |
| Autocrine thymic lymphoma granzyme-like serine protease; AW494114; BLT esterase; CTL tryptase; CTLA3; CTLA-3; Cytotoxic T-lymphocyte proteinase 1; Cytotoxic T-lymphocyte-associated serine esterase-3; fragmentin-1; granzyme 1; granzyme A; Granzyme A (Cytotoxic T-lymphocyte-associated serine esterase-3; Hanukah factor serine protease); granzyme A (granzyme 1, cytotoxic T-lymphocyte-associated serine esterase 3); Granzyme-1; GZMA; H factor; Hanukah factor; Hanukah factor serine protease); Hanukkah factor; Hf; HFSP; Mtsp-1; SE1; serine esterase 1; t cell-specific serine protease 1; TSP1; TSP-1 | |
| Rabbit | |
| Antigen affinity chromatography | |
| RUO | |
| 3001 | |
| Store at 4°C short term. For long term storage, store at -20°C, avoiding freeze/thaw cycles. | |
| Liquid |
| Immunohistochemistry (Paraffin), Western Blot | |
| 0.68 mg/mL | |
| 0.1M tris glycine with 20% glycerol and 0.01% thimerosal; pH 7 | |
| P12544 | |
| GZMA | |
| Recombinant protein encompassing a sequence within the center region of human Granzyme A. The exact sequence is proprietary. | |
| 100 μL | |
| Primary | |
| Human | |
| Antibody | |
| IgG |
Product Content Correction
Your input is important to us. Please complete this form to provide feedback related to the content on this product.
Product Title
Spot an opportunity for improvement?Share a Content Correction