Promotional price valid on web orders only. Your contract pricing may differ. Interested in signing up for a dedicated account number?
Learn More
Learn More
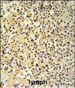
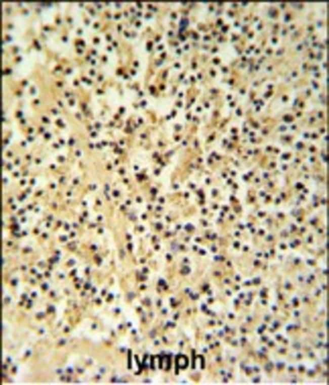
Invitrogen™ Granzyme B Polyclonal Antibody

Rabbit Polyclonal Antibody
Supplier: Invitrogen™ PA513518
Description
Granzyme B Polyclonal Antibody for IHC (P), Flow
Granzyme B is a member of the granzyme serine protease family, and is found in the granules of cytotoxic T cells and NK cells. Granzyme B has been described as CGL1 (cathepsin G-like-1), a serine protease expressed only in cytotoxic T-lymphocytes after cell activation, and CTLA-1 (cytotoxic T lymphocyte-associated serine esterase 1) based on identification of mRNA in various cytotoxic T cells, but not observed in non-cytotoxic lymphoid cells. Granzyme B is crucial for the rapid induction of target cell death by apoptosis, induced by interaction with cytotoxic T cells. The receptor involved in this process has been identified as mannose 6-phosphate receptor which functions as a death receptor for Granzyme B during cytotoxic T cell-induced apoptosis. Granzyme B enters target cells to cleave caspase-3 and initiate the caspase cascade leading to DNA fragmentation and apoptosis. Granzyme B can also act through a mitochondrial apoptosis pathway by cleaving the Bid protein. Granzymes are neutral serine proteases, which are stored in specialized lytic granules of cytotoxic T lymphocytes (CTLs) and in natural killer (NK) cells. A number of granzymes (A to G) have been isolated and cloned from mouse CTLs and NK cells, however in man, fewer have been cloned and identified.
Specifications
| Granzyme B | |
| Polyclonal | |
| Unconjugated | |
| GZMB | |
| AI553453; C11; Cathepsin G-like 1; CCP1; CCP-1/C11; CCPI; CGL1; CGL-1; CSPB; CSP-B; Ctla1; Ctla-1; CTSGL1; cytotoxic cell protease 1; cytotoxic serine protease B; Cytotoxic T lymphocyte associated serine esterase 1; cytotoxic T-lymphocyte proteinase 2; cytotoxic T-lymphocyte-associated serine esterase 1; fragmentin; fragmentin 2; fragmentin-2; GLP I; GLP III; GLP-1; granzyme 2; granzyme B; granzyme B (granzyme 2, cytotoxic T-lymphocyte-associated serine esterase 1); granzyme B(G,H); Granzyme-2; GranzymeB; granzyme-like protein 1; granzyme-like protein I; GRB; GZB; Gzmb; HLP; human lymphocyte protein; Human lymphocyte protein (Hlp); Lymphocyte protease; Natural killer cell protease 1; OTTHUMP00000028189; RNKP-1; SECT; T-cell serine protease 1-3E | |
| Rabbit | |
| Ammonium Sulfate Precipitation, Size-exclusion - Dialysis | |
| RUO | |
| 14939, 3002 | |
| Store at 4°C short term. For long term storage, store at -20°C, avoiding freeze/thaw cycles. | |
| Liquid |
| Flow Cytometry, Immunohistochemistry (Paraffin) | |
| 2 mg/mL | |
| PBS with 0.09% sodium azide; pH 7.4 | |
| P04187, P10144 | |
| GZMB | |
| KLH conjugated synthetic peptide between 2-32 amino acids from the N-terminal region of human GZMB. | |
| 400 μL | |
| Primary | |
| Human, Mouse | |
| Antibody | |
| IgG |
Product Content Correction
Your input is important to us. Please complete this form to provide feedback related to the content on this product.
Product Title
Spot an opportunity for improvement?Share a Content Correction