Learn More
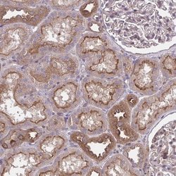
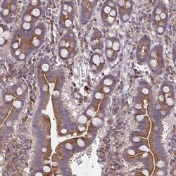
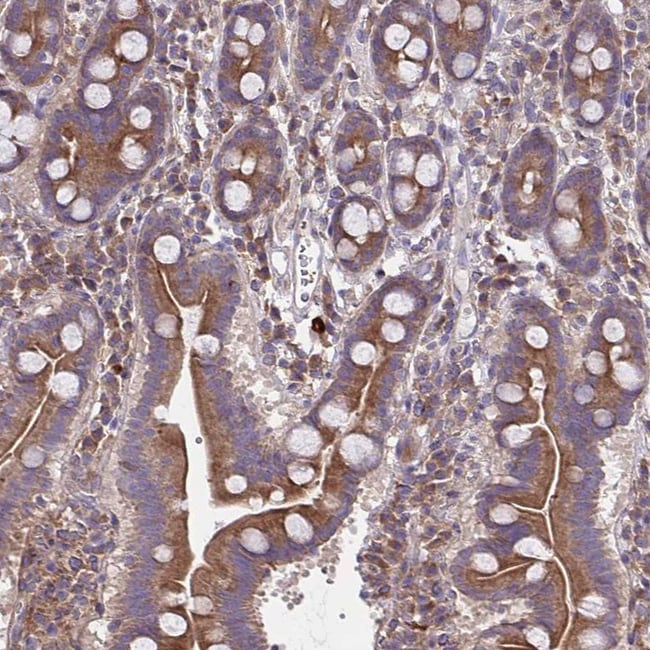
Invitrogen™ GRB14 Polyclonal Antibody

Description
Immunogen sequence: PELCCSPFTS VLSADLFPKA NSRKKQVIKV YSEDETSRAL DVPSDITARD VCQLLILKNH YIDDHSWTLF EHLPHIGVER TIEDHELVIE Highest antigen sequence identity to the following orthologs: Mouse - 88%, Rat - 81%.
Specifications
Specifications
| Antigen | GRB14 |
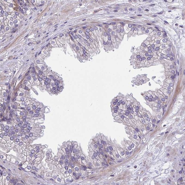
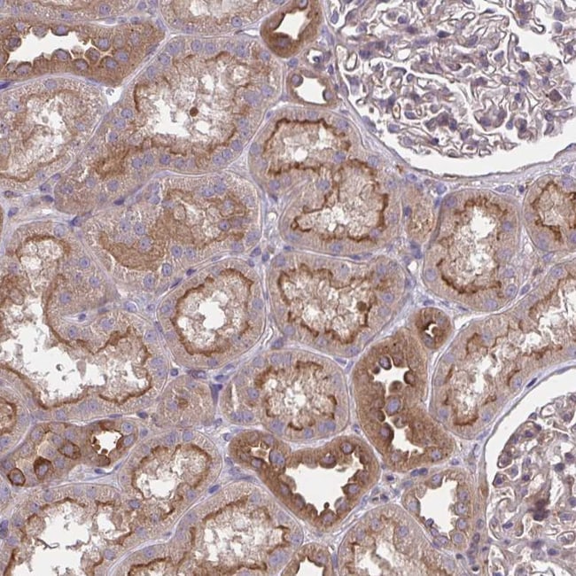
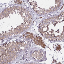
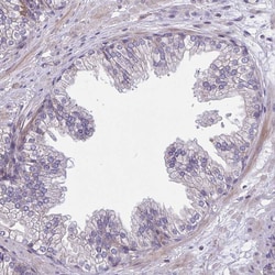
| Applications | Immunohistochemistry (Paraffin) |
| Classification | Polyclonal |
| Concentration | 0.1 mg/mL |
| Conjugate | Unconjugated |
| Formulation | PBS with 40% glycerol and 0.02% sodium azide; pH 7.2 |
| Gene | GRB14 |
| Gene Accession No. | Q14449 |
| Gene Alias | AI505286; GRB14; GRB14 adapter protein; growth factor receptor bound protein 14; growth factor receptor-bound protein 14 |
| Gene Symbols | GRB14 |
| Show More |
Safety and Handling
By clicking Submit, you acknowledge that you may be contacted by Fisher Scientific in regards to the feedback you have provided in this form. We will not share your information for any other purposes. All contact information provided shall also be maintained in accordance with our Privacy Policy.