Learn More
Invitrogen™ GRK5 Polyclonal Antibody

Rabbit Polyclonal Antibody
Supplier: Invitrogen™ PA579331
Description
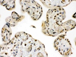
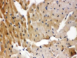
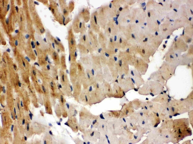
Reconstitute with 0.2 mL of distilled water to yield a concentration of 500 μg/mL. Positive Control - WB: human HepG2 whole cell, human Hela whole cell, human A549 whole cell, rat heart tissue, mouse heart tissue. IHC: rat cardiac muscle tissue, mouse lung tissue, human placenta tissue.
GRK5 is a serine/threonine kinase that regulates the activity of a variety of G protein-coupled receptors and the motility of polymorphonuclear leukocytes. The protein phosphorylates the activated forms of G protein-coupled receptors thus initiating their deactivation. It has also been shown to play a role in regulating the motility of polymorphonuclear leukocytes.
Specifications
GRK5 | |
Polyclonal | |
Unconjugated | |
GRK5 | |
1200003L19Rik; Alpha-CP4; AlphaCP-4; FP2025; G protein-coupled receptor kinase 5; G protein-coupled receptor kinase GRK5; Gprk5; GRK; Grk5; GRK5 protein kinase; GRK-pan; Pan-GRK; Pcbp4; poly(rC) binding protein 4; poly(rC)-binding protein 4 | |
Rabbit | |
Antigen affinity chromatography | |
RUO | |
11476, 14773, 236300, 2869, 59075, 59092 | |
-20°C | |
Lyophilized |
Immunohistochemistry (Paraffin), Western Blot | |
500 μg/mL | |
PBS with 5mg BSA and 0.05mg sodium azide | |
P34947, Q62833, Q8VEB1 | |
GRK5 | |
A synthetic peptide corresponding to a sequence at the C-terminus of human GRK5 (393-429aa KREEVDRRVLETEEVYSHKFSEEAKSICKMLLTKDAK). | |
100 μg | |
Primary | |
Human, Mouse, Rat | |
Antibody | |
IgG |
Safety and Handling
Your input is important to us. Please complete this form to provide feedback related to the content on this product.