Promotional price valid on web orders only. Your contract pricing may differ. Interested in signing up for a dedicated account number?
Learn More
Learn More
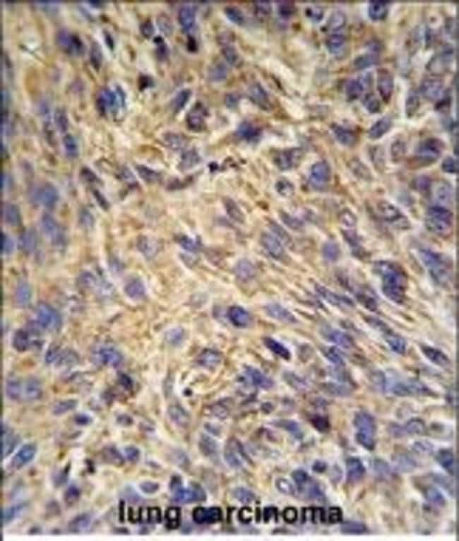
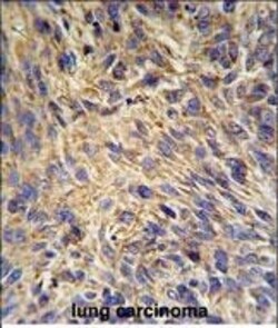
Invitrogen™ GRP94 Polyclonal Antibody

Rabbit Polyclonal Antibody
Supplier: Invitrogen™ PA524824
Description
This antibody is predicted to react with bovine, chicken, porcine, non-human primate and rat based on sequence homology.
GRP94 is a 803 amino acid protein belonging to the heat shock protein 90 family. It acts as a molecular chaperone that functions in the processing and transport of secreted proteins. GRP94 and its N-terminal fragment stimulates CTL expansion and maturation of human monocyte-derived dendritic cells (MDDC). It plays a central role in innate as well as acquired immunity, maturation and chemotaxis of dendritic cells, Ab production, cross-priming, as a potential marker in breast cancer and is a peptide acceptor in endoplasmic reticulum and an accessory to peptide loading of MHC class I molecules. Expression of GRP94 suppressed A23187-induced apoptosis and stabilized calcium homeostasis. GRP94 is expressed in melanoma or liver metastases of colon carcinoma cells, human gastric carcinoma BGC-823 cells.
Specifications
| GRP94 | |
| Polyclonal | |
| Unconjugated | |
| HSP90B1 | |
| 108K heat shock protein; 108K HSP; 94 kDa glucose-regulated protein; 94 kDa glucose-regulated protein {ECO:0000250; 98 kDa protein kinase; ecgp; endoplasmic reticulum resident protein 99; Endoplasmin; endoplasmin {ECO:0000250; endoplasmin-like protein; endothelial cell (HBMEC) glycoprotein; epididymis luminal protein 35; epididymis secretory sperm binding protein Li 125m; ERp99; glucose-regulated protein; glucose-regulated protein GRP94; glucose-regulated protein GRP94 precursor; GP96; gp96 homolog; gp96/GRP94; GRP94; GRP-94; heat shock 108 kDa protein; heat shock protein 108; heat shock protein 108.; heat shock protein 90 beta family member 1; heat shock protein 90 kDa beta member 1; heat shock protein 90 kDa beta member 1 {ECO:0000250; heat shock protein 90, beta (Grp94), member 1; heat shock protein 90, beta, member 1; heat shock protein 90kDa beta (Grp94), member 1; heat shock protein 90kDa beta family member 1; heat shock protein 90kDa beta family member 1 L homeolog; heat shock protein 90kDa beta, member 1; heat shock protein gp96; HEL35; HEL-S-125m; HSP 108; hsp108; HSP90 beta; hsp90b1; hsp90b1 {ECO:0000250; hsp90b1.L; Polymorphic tumor rejection antigen 1; PPK 98; Ppk 98; a protein kinase; ppk98; stress-inducible tumor rejection antigen gp96; TA-3; Targ2; tra1; Tra-1; transferrin-binding protein; transforming growth factor alpha regulated gene 2; tumor rejection antigen; tumor rejection antigen (gp96) 1; tumor rejection antigen 1; Tumor rejection antigen gp96; UniProtKB:P08113}; XELAEV_18017384mg | |
| Rabbit | |
| Antigen affinity chromatography, Protein A | |
| RUO | |
| 100773331, 22027, 7184 | |
| Store at 4°C short term. For long term storage, store at -20°C, avoiding freeze/thaw cycles. | |
| Liquid |
| Flow Cytometry, Immunohistochemistry (Paraffin), Western Blot, Immunocytochemistry | |
| 0.5 mg/mL | |
| PBS with 0.09% sodium azide; pH 7.4 | |
| P08113, P14625 | |
| HSP90B1 | |
| KLH conjugated synthetic peptide between 16-43 amino acids from the N-terminal region of human HSP90B1. | |
| 400 μL | |
| Primary | |
| Human, Mouse, Hamster | |
| Antibody | |
| IgG |
Safety and Handling
WARNING: Cancer - www.P65Warnings.ca.gov
Product Content Correction
Your input is important to us. Please complete this form to provide feedback related to the content on this product.
Product Title
Spot an opportunity for improvement?Share a Content Correction