Learn More
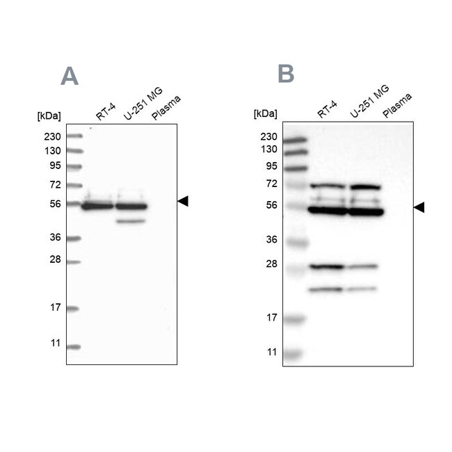
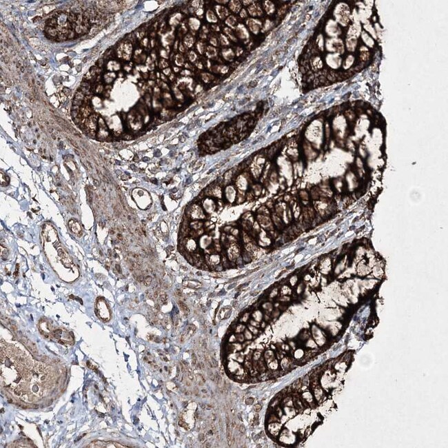
Invitrogen™ GRSF1 Polyclonal Antibody

Description
Immunogen sequence: RRNEVRTHVG SYKGKKIASF PTAKYITEPE MVFEEHEVNE DIQPMTAFES EKEIELPKEV PEKLPEAADF GTTSSLHFVH Highest antigen sequence identity to the following orthologs: Mouse - 83%, Rat - 80%.
Specifications
Specifications
| Antigen | GRSF1 |
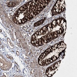
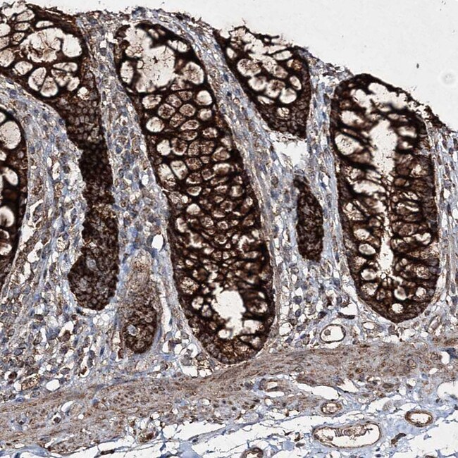
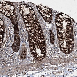
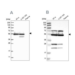
| Applications | Immunohistochemistry (Paraffin), Western Blot, Immunocytochemistry |
| Classification | Polyclonal |
| Concentration | 0.4 mg/mL |
| Conjugate | Unconjugated |
| Formulation | PBS with 40% glycerol and 0.02% sodium azide; pH 7.2 |
| Gene | GRSF1 |
| Gene Accession No. | Q12849 |
| Gene Alias | BB232551; C80280; D5Wsu31e; G-rich RNA sequence binding factor 1; G-rich sequence factor 1; Grsf1; GRSF-1 |
| Gene Symbols | GRSF1 |
| Show More |
Safety and Handling
By clicking Submit, you acknowledge that you may be contacted by Fisher Scientific in regards to the feedback you have provided in this form. We will not share your information for any other purposes. All contact information provided shall also be maintained in accordance with our Privacy Policy.