Promotional price valid on web orders only. Your contract pricing may differ. Interested in signing up for a dedicated account number?
Learn More
Learn More
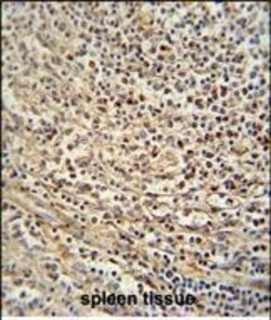
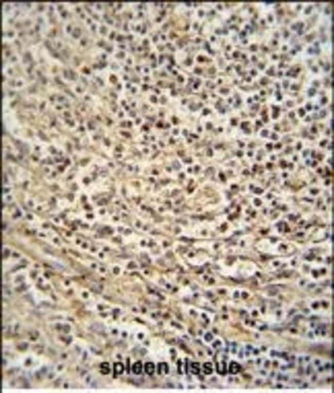
Invitrogen™ GSDMC Polyclonal Antibody

Rabbit Polyclonal Antibody
Supplier: Invitrogen™ PA524259
Description
GSDMC Polyclonal Antibody for Western Blot, IHC (P), Flow
The N-terminal moiety promotes pyroptosis. May be acting by homooligomerizing within the membrane and forming pores (PubMed:27281216). The physiological relevance of this observation is unknown (Probable). [UniProt].
Specifications
| GSDMC | |
| Polyclonal | |
| Unconjugated | |
| GSDMC | |
| gasdermin C; gasdermin C1; gasdermin-C; Gasdermin-C1; Gsdmc; Gsdmc1; melanoma-derived leucine zipper, extra-nuclear factor; melanoma-derived leucine zipper-containing extranuclear factor; MLZE; mMLZE | |
| Rabbit | |
| Antigen Affinity Chromatography, Protein A | |
| RUO | |
| 56169 | |
| Store at 4°C short term. For long term storage, store at -20°C, avoiding freeze/thaw cycles. | |
| Liquid |
| Flow Cytometry, Immunohistochemistry (Paraffin), Western Blot | |
| 0.5 mg/mL | |
| PBS with 0.09% sodium azide; pH 7.4 | |
| Q9BYG8 | |
| GSDMC | |
| KLH conjugated synthetic peptide between 218-246 amino acids from the central region of human GSDMC. | |
| 400 μL | |
| Primary | |
| Human | |
| Antibody | |
| IgG |
Product Content Correction
Your input is important to us. Please complete this form to provide feedback related to the content on this product.
Product Title
Spot an opportunity for improvement?Share a Content Correction