Promotional price valid on web orders only. Your contract pricing may differ. Interested in signing up for a dedicated account number?
Learn More
Learn More
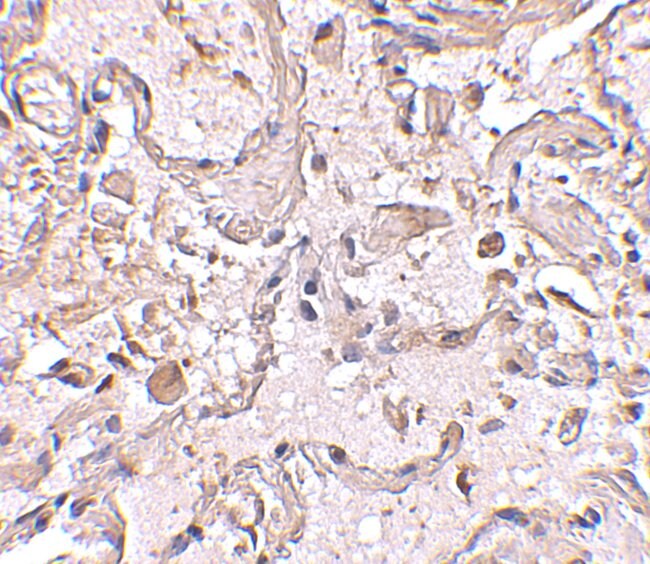
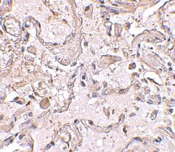
Invitrogen™ GSTP1 Polyclonal Antibody

Rabbit Polyclonal Antibody
Supplier: Invitrogen™ PA520462
Description
A suggested positive control is Jurkat cell lysate. PA5-20462 can be used with blocking peptide PEP-0579.
Glutathione S-transferases (GSTs) are a family of enzymes that play an important role in detoxification by catalyzing the conjugation of many hydrophobic and electrophilic compounds with reduced glutathione. Based on their biochemical, immunologic, and structural properties, the soluble GSTs are categorized into 4 main classes: alpha, mu, pi, and theta. This GST family member is a polymorphic gene encoding active, functionally different GSTP1 variant proteins that are thought to function in xenobiotic metabolism and play a role in susceptibility to cancer, and other diseases.
Specifications
| GSTP1 | |
| Polyclonal | |
| Unconjugated | |
| Gstp1 | |
| Chain 7; deafness, X-linked 7; DFN7; epididymis secretory protein Li 22; FAEES3; fatty acid ethyl ester synthase III; glutathione S-transferase P; Glutathione S-transferase P 1; glutathione S-transferase pi 1; glutathione S-transferase pi 2; glutathione S-transferase, pi 1; glutathione S-transferase, pi 2; Glutathione-S-transferase placental enzyme pi type; glutathione-S-transferase, pi 1; Glutathione-S-transferase, placental enzyme pi type; GST 7-7; GST class-pi; gst P1; Gst p-1; GST YF-YF; Gst3; Gstp; GST-P; Gstp1; GSTP1-1; Gstp2; GstpiB; GST-piB; HEL-S-22; HGNC:4638; PI; Preadipocyte growth factor | |
| Rabbit | |
| Antigen affinity chromatography | |
| RUO | |
| 14870, 24426, 2950 | |
| Maintain refrigerated at 2-8°C for up to 3 months. For long term storage store at -20°C | |
| Liquid |
| Immunohistochemistry, Western Blot, Immunocytochemistry | |
| 1 mg/mL | |
| PBS with 0.02% sodium azide | |
| P04906, P09211, P19157 | |
| Gstp1 | |
| A 14 amino acid peptide from near the center of human GSTP1. | |
| 100 μg | |
| Primary | |
| Human, Mouse, Rat | |
| Antibody | |
| IgG |
Safety and Handling
WARNING: Cancer - www.P65Warnings.ca.gov
Product Content Correction
Your input is important to us. Please complete this form to provide feedback related to the content on this product.
Product Title
Spot an opportunity for improvement?Share a Content Correction