Promotional price valid on web orders only. Your contract pricing may differ. Interested in signing up for a dedicated account number?
Learn More
Learn More
Invitrogen™ GSTT2 Polyclonal Antibody
Rabbit Polyclonal Antibody
Supplier: Invitrogen™ PA5121938
This item is not returnable.
View return policy
Description
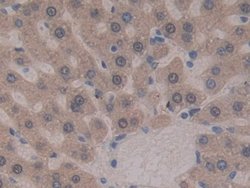
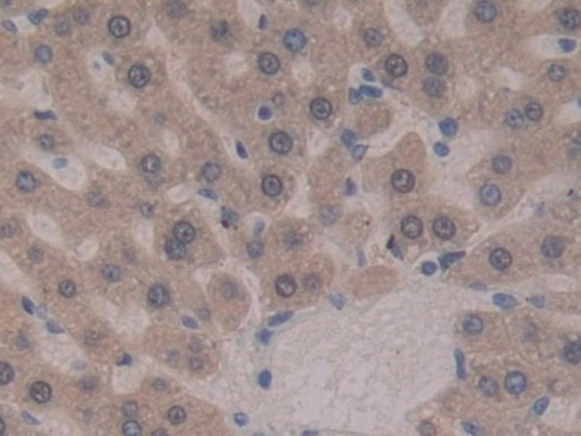
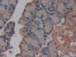
GSTT2 Polyclonal Antibody for Western Blot, ICC/IF, IHC (P)
Conjugation of reduced glutathione to a wide number of exogenous and endogenous hydrophobic electrophiles. Has a sulfatase activity.
Specifications
GSTT2 | |
Polyclonal | |
Unconjugated | |
Gstt2 | |
AI266894; Glutathione S-transferase 12; glutathione S-transferase theta 2 (gene/pseudogene); glutathione S-transferase theta-2; Glutathione S-transferase Yrs-Yrs; glutathione S-transferase, theta 2; GST 12-12; GST class-theta-2; GSTT2; mGSTT2; Yrs | |
Rabbit | |
Antigen affinity chromatography, Protein A | |
RUO | |
14872, 29487 | |
Store at 4°C short term. For long term storage, store at -20°C, avoiding freeze/thaw cycles. | |
Liquid |
Immunohistochemistry (Paraffin), Western Blot, Immunocytochemistry | |
0.5 mg/mL | |
PBS with 50% glycerol and 0.05% ProClin 300; pH 7.4 | |
P30713, Q61133 | |
Gstt2 | |
Recombinant protein Glutathione S Transferase Theta 2. The antigen corresponds to amino acid range 16-242 of the target protein. | |
20 μL | |
Primary | |
Mouse, Rat | |
Antibody | |
IgG |
Product Content Correction
Your input is important to us. Please complete this form to provide feedback related to the content on this product.
Product Title
Spot an opportunity for improvement?Share a Content Correction