Promotional price valid on web orders only. Your contract pricing may differ. Interested in signing up for a dedicated account number?
Learn More
Learn More
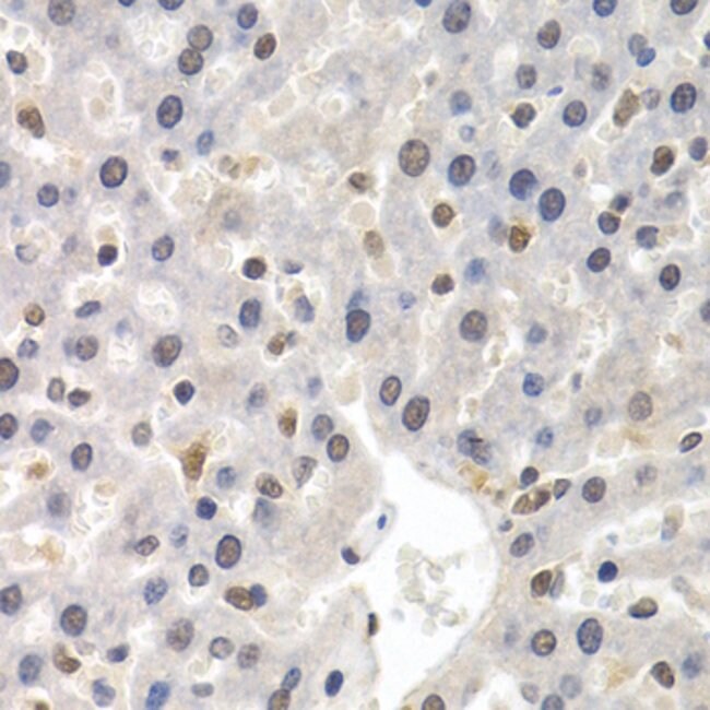
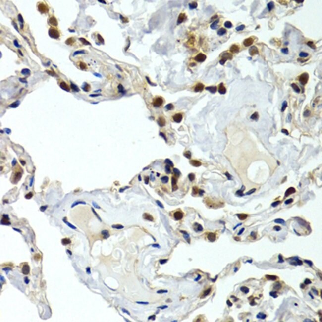
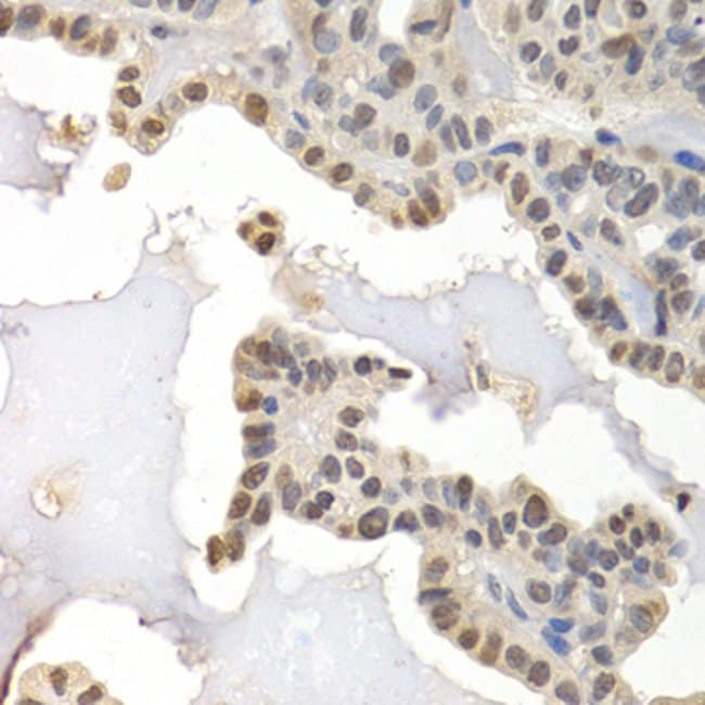
Invitrogen™ GTF2F1 Polyclonal Antibody

Rabbit Polyclonal Antibody
Supplier: Invitrogen™ PA576779
Description
The antibody was affinity-purified from rabbit antiserum by affinity-chromatography using epitope-specific immunogen and the purity is > 95% (by SDS-PAGE).
TFIIF is a general transcription initiation factor that binds to RNA polymerase II and helps to recruit it to the initiation complex in collaboration with TFIIB. It promotes transcription elongation.
Specifications
GTF2F1 | |
Polyclonal | |
Unconjugated | |
Gtf2f1 | |
2810405L04Rik; BTF4; C76800; General transcription factor IIF 74 kDa subunit; general transcription factor IIF polypeptide 1 (74kD subunit); general transcription factor IIF subunit 1; general transcription factor IIF, polypeptide 1; general transcription factor IIF, polypeptide 1, 74kDa; Gtf2f1; MGC94148; OTTHUMP00000237859; RAP74; TF2F1; TFIIF; TFIIF-alpha; transcription initiation factor IIF subunit alpha; Transcription initiation factor RAP74 | |
Rabbit | |
Antigen affinity chromatography | |
RUO | |
2962, 316123 | |
Store at 4°C short term. For long term storage, store at -20°C, avoiding freeze/thaw cycles. | |
Liquid |
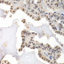
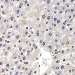
Immunohistochemistry (Paraffin), Western Blot, Western Blot | |
1 mg/mL | |
PBS with 50% glycerol and 0.02% sodium azide; pH 7.2 | |
P35269, Q6AY96 | |
Gtf2f1 | |
Recombinant full length Human GTF2F1. | |
100 μL | |
Primary | |
Human, Rat, Rat | |
Antibody | |
IgG |
Product Content Correction
Your input is important to us. Please complete this form to provide feedback related to the content on this product.
Product Title
Spot an opportunity for improvement?Share a Content Correction