Promotional price valid on web orders only. Your contract pricing may differ. Interested in signing up for a dedicated account number?
Learn More
Learn More
Invitrogen™ GZF1 Polyclonal Antibody

Rabbit Polyclonal Antibody
Supplier: Invitrogen™ PA534375
Description
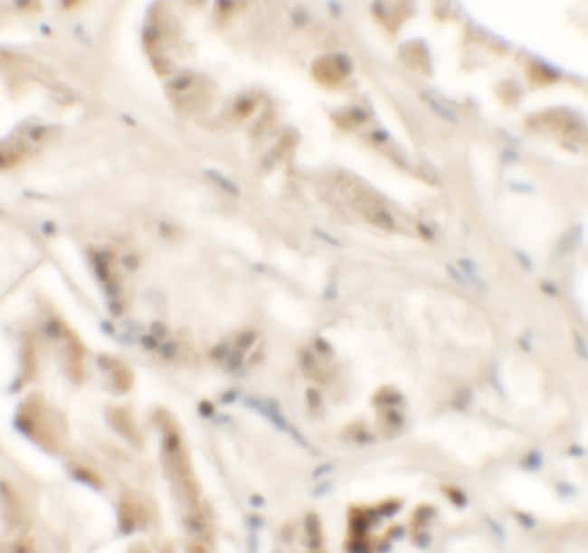
A suggested positive control is human heart tissue lysate. PA5-34375 can be used with blocking peptide PEP-1418.
The GDNF-inducible zinc finger protein 1 (GZF1) is a sequence-specific transcriptional repressor with a BTB/POZ domain and ten zinc finger motifs whose expression is required for renal branching morphogenesis during kidney development. GZF1 binds to the 5'regulatory region of the homeodomain protein HOXA10, suggesting that GZF1 may play a role in morphogenesis other than kidney development. Recent experiments have indicated that GZF1 associates with nucleolin and this association is mediated by the first four zinc finger motifs of GZF1. It is thought that Nucleolin modulates the subcellular localization of GZF1 as well as its transcriptional repressor activity.
Specifications
GZF1 | |
Polyclonal | |
Unconjugated | |
GZF1 | |
GDNF inducible zinc finger protein 1; GDNF-inducible zinc finger protein 1; GZF1; ZBTB23; Zinc finger and BTB domain-containing protein 23; zinc finger protein 336; ZNF336 | |
Rabbit | |
Antigen affinity chromatography | |
RUO | |
64412 | |
Maintain refrigerated at 2-8°C for up to 3 months. For long term storage store at -20°C | |
Liquid |
Immunohistochemistry, Western Blot | |
1 mg/mL | |
PBS with 0.02% sodium azide | |
Q9H116 | |
GZF1 | |
An 18 amino acid synthetic peptide near the carboxy terminus of human GZF1. | |
100 μg | |
Primary | |
Human | |
Antibody | |
IgG |
Safety and Handling
WARNING: Cancer - www.P65Warnings.ca.gov
Product Content Correction
Your input is important to us. Please complete this form to provide feedback related to the content on this product.
Product Title
Spot an opportunity for improvement?Share a Content Correction