Promotional price valid on web orders only. Your contract pricing may differ. Interested in signing up for a dedicated account number?
Learn More
Learn More
Invitrogen™ H2AFJ Polyclonal Antibody

Rabbit Polyclonal Antibody
Supplier: Invitrogen™ PA5117468
Description
This antibody has been tested in direct-ELISA.
Histones are basic nuclear proteins that are responsible for the nucleosome structure of the chromosomal fiber in eukaryotes. Nucleosomes consist of approximately 146 bp of DNA wrapped around a histone octamer composed of pairs of each of the four core histones (H2A, H2B, H3, and H4). The chromatin fiber is further compacted through the interaction of a linker histone, H1, with the DNA between the nucleosomes to form higher order chromatin structures.
Specifications
| H2AFJ | |
| Polyclonal | |
| Unconjugated | |
| H2AFJ | |
| buforin I; E130307C13; H2A histone family member J; H2A histone family, member J; H2a/j; H2afj; H2AJ; histone H2A.J | |
| Rabbit | |
| Antigen Affinity Chromatography | |
| RUO | |
| 232440, 55766 | |
| -20°C or -80°C if preferred | |
| Liquid |
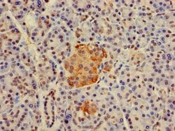
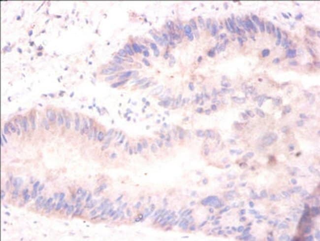
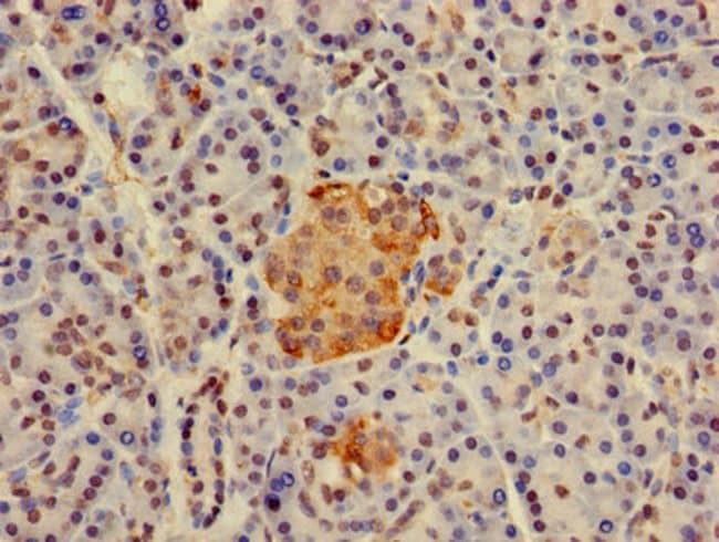
| Immunohistochemistry (Paraffin), Western Blot | |
| 2.3 mg/mL | |
| PBS with 40% glycerol and 0.05% sodium azide; pH 7.4 | |
| Q8R1M2, Q9BTM1 | |
| H2AFJ | |
| Recombinant Human Histone H2A.J protein (2-129aa). | |
| 100 μL | |
| Primary | |
| Human, Mouse | |
| Antibody | |
| IgG |
Product Content Correction
Your input is important to us. Please complete this form to provide feedback related to the content on this product.
Product Title
Spot an opportunity for improvement?Share a Content Correction