Promotional price valid on web orders only. Your contract pricing may differ. Interested in signing up for a dedicated account number?
Learn More
Learn More
Invitrogen™ H2AFV Polyclonal Antibody

Rabbit Polyclonal Antibody
Supplier: Invitrogen™ PA5109802
Description
Immunogen sequence: MAGGKAGKDS GKAKAKAVSR SQRAGLQFPV GRIHRHLKTR TTSHGRVGAT AAVYSAAILE YLTAEVLELA GNASKDLKVK RITPRHLQLA IRGDEELDSL IKATIAGGGV IPHIHKSLIG KKGQQKTA.
Histones are basic nuclear proteins that are responsible for the nucleosome structure of the chromosomal fiber in eukaryotes. Nucleosomes consist of approximately 146 bp of DNA wrapped around a histone octamer composed of pairs of each of the four core histones (H2A, H2B, H3, and H4). The chromatin fiber is further compacted through the interaction of a linker histone, H1, with the DNA between the nucleosomes to form higher order chromatin structures. This gene encodes a replication-independent histone that is a member of the histone H2A family. Several transcript variants encoding different isoforms, have been identified for this gene.
Specifications
| H2AFV | |
| Polyclonal | |
| Unconjugated | |
| H2az2 | |
| C530002L11Rik; H2A histone family member V; H2A histone family, member V; H2A.F/Z; H2a.z-2; H2AFV; H2AV; histone H2A.F/Z; histone H2A.V; purine-rich binding element protein B | |
| Rabbit | |
| Affinity Chromatography | |
| RUO | |
| 77605, 94239 | |
| -20°C, Avoid Freeze/Thaw Cycles | |
| Liquid |
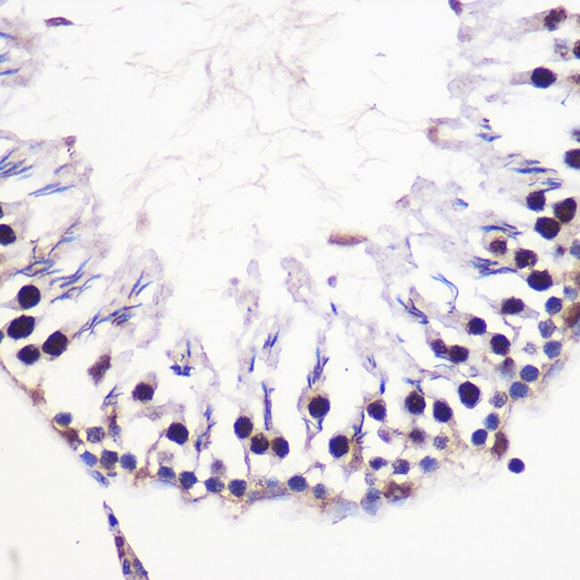
| ELISA, Immunohistochemistry (Paraffin), Western Blot, Immunocytochemistry | |
| 3.91 mg/mL | |
| PBS with 50% glycerol and 0.01% thimerosal; pH 7.3 | |
| Q3THW5, Q71UI9 | |
| H2az2 | |
| Recombinant fusion protein containing a sequence corresponding to amino acids 1-128 of human Histone H2AFV (NP_0365441). | |
| 100 μL | |
| Primary | |
| Human, Mouse, Rat | |
| Antibody | |
| IgG |
Product Content Correction
Your input is important to us. Please complete this form to provide feedback related to the content on this product.
Product Title
Spot an opportunity for improvement?Share a Content Correction