Promotional price valid on web orders only. Your contract pricing may differ. Interested in signing up for a dedicated account number?
Learn More
Learn More
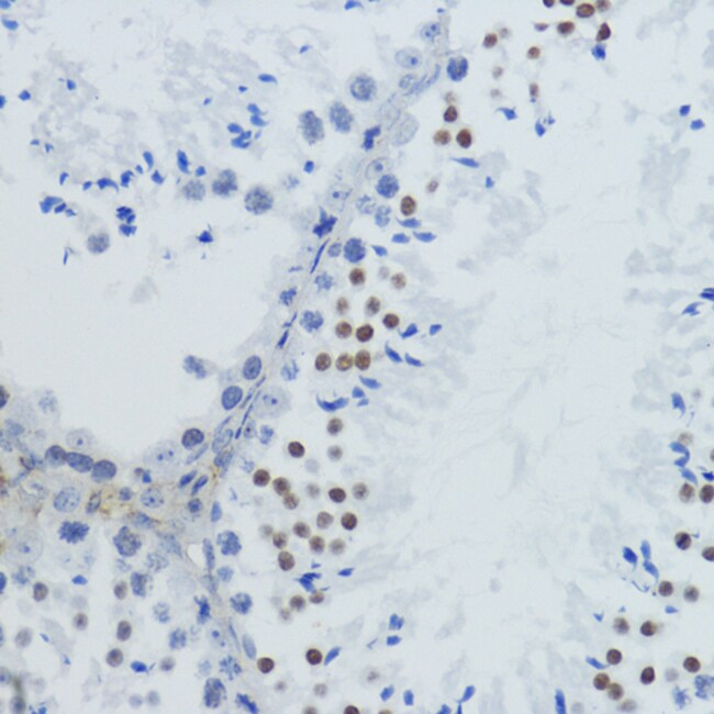
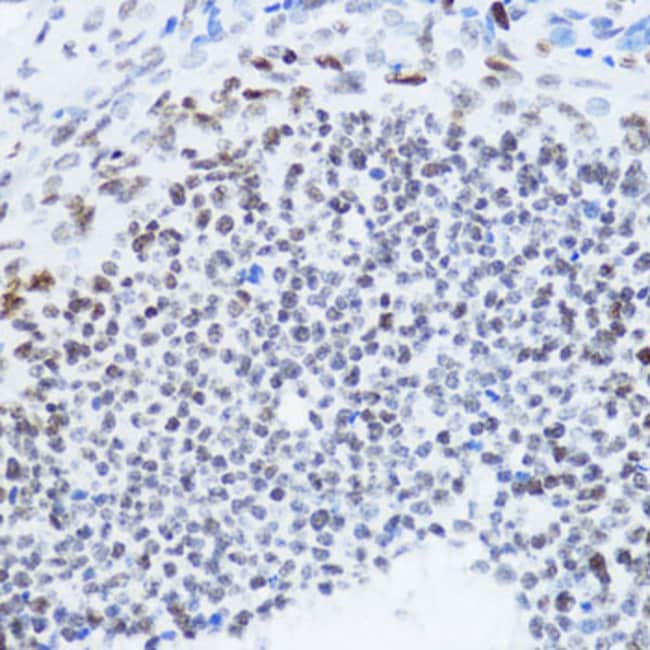
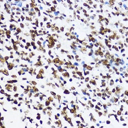
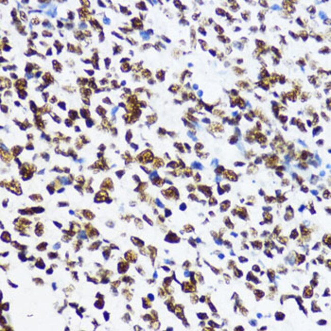
Invitrogen™ H4K12ac Polyclonal Antibody

Rabbit Polyclonal Antibody
Supplier: Invitrogen™ PA5116574
Description
Positive Samples: C2C12, C6 Immunogen sequence: GLGKG.
Histones are basic nuclear proteins that are responsible for the nucleosome structure of the chromosomal fiber in eukaryotes. Two molecules of each of the four core histones (H2A, H2B, H3, and H4) form an octamer, around which approximately 146 bp of DNA is wrapped in repeating units, called nucleosomes. The linker histone, H1, interacts with linker DNA between nucleosomes and functions in the compaction of chromatin into higher order structures. This gene is intronless and encodes a member of the histone H4 family. Transcripts from this gene lack polyA tails but instead contain a palindromic termination element. This gene is found in the large histone gene cluster on chromosome 6.
Specifications
| H4K12ac | |
| Polyclonal | |
| Unconjugated | |
| H4C1 | |
| acetyl Histone H4; Acetyl-H4 K12; Acetyl-H4 Lys12; Acetyl-Histone H4 K12; Acetyl-Histone H4 Lys12; FO108; H4; H4 histone family, member A; H4 histone family, member I; H4 histone family, member J; H4 histone family, member M; H4 histone family, member N; H4 histone, family 2; H4 K12ac; H4/A; H4/B; H4/C; H4/D; H4/E; H4/G; H4/H; H4/I; H4/J; H4/K; H4/M; H4/N; H4/O; H4/p; H4-12; H4-16; H4-53; H4C1; H4C11; H4c12; H4C13; H4c14; H4C15; H4c2; H4c3; H4C4; H4C5; H4c6; H4C8; H4C9; H4f16; H4F2; H4FA; H4FB; H4FC; H4FD; H4FE; H4FG; H4FH; H4FI; H4FJ; H4FK; H4FM; H4FN; H4FO; H4K12; H4K12a; H4Lys12ac; H4M; HIST1H4; Hist1h4a; HIST1H4B; Hist1h4c; Hist1h4d; HIST1H4E; HIST1H4F; HIST1H4H; Hist1h4i; Hist1h4j; HIST1H4K; HIST1H4L; Hist1h4m; Hist2h4; Hist2h4a; HIST2H4B; HIST4H4; histone 1, H4a; histone 1, H4b; histone 1, H4e; histone 1, H4i; histone 2, H4; histone 2, H4a; Histone 4; Histone 4 family, member M; histone 4, H4; histone cluster 1, H4a; histone cluster 1, H4b; histone cluster 1, H4e; histone cluster 1, H4i; histone cluster 2, H4; histone cluster 2, H4a; Histone Cluster 4; histone cluster 4, H4; histone family member; histone H4; Histone H4 acetyl; Histone H4A; Histone H4K12; Histone H4K12ac; histone IV, family 2; X04652 | |
| Rabbit | |
| Affinity chromatography | |
| RUO | |
| 121504, 319158, 326619, 326620, 8294, 8359, 8363, 8366, 8367, 8370, 97122 | |
| -20°C, Avoid Freeze/Thaw Cycles | |
| Liquid |
| ELISA, Immunohistochemistry (Paraffin), Western Blot, Immunocytochemistry | |
| 0.22 mg/mL | |
| PBS with 50% glycerol and 0.01% thimerosal; pH 7.3 | |
| P62805, P62806 | |
| H4-16, H4C1, H4C11, H4C14, H4C2, H4C5, H4C9 | |
| A synthetic acetylated peptide around K12 of human Histone H4 (NP_0010292491). | |
| 100 μL | |
| Primary | |
| Human, Mouse, Rat | |
| Antibody | |
| IgG |
Safety and Handling
WARNING: Cancer - www.P65Warnings.ca.gov
Product Content Correction
Your input is important to us. Please complete this form to provide feedback related to the content on this product.
Product Title
Spot an opportunity for improvement?Share a Content Correction