Promotional price valid on web orders only. Your contract pricing may differ. Interested in signing up for a dedicated account number?
Learn More
Learn More
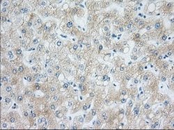
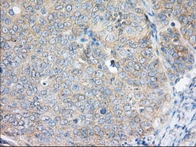
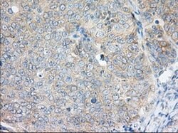
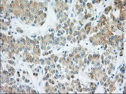
H6PD Monoclonal Antibody (OTI1H6), TrueMAB™, OriGene

Mouse Monoclonal Antibody
Supplier: OriGene TA501241S


Description
H6PD Monoclonal antibody specifically detects H6PD in Human samples. It is validated for Flow Cytometry, Immunocytochemistry, Immunohistochemistry (Paraffin), Western BlotSpecifications
H6PD | |
Monoclonal | |
0.66 mg/mL | |
PBS with 1% BSA, 50% glycerol and 0.02% sodium azide | |
Q9H0T7 | |
Mouse | |
Affinity chromatography | |
RUO | |
64284 | |
-20° C, Avoid Freeze/Thaw Cycles | |
IgG1 |
Flow Cytometry, Immunocytochemistry, Immunohistochemistry (Paraffin), Western Blot | |
OTI1H6 | |
Unconjugated | |
Rab17 | |
6PGL; 6-phosphogluconolactonase; AI785303; CORTRD1; EGK_00198; G6PD, H form; G6pd1; G6PDH; GDH; GDH/6PGL endoplasmic bifunctional protein; glucose 1- dehydrogenase; glucose 1-dehydrogenase; glucose dehydrogenase; glucose dehyrogenase; Glucose-6-phosphate dehydrogenase; glucose-6-phosphate dehydrogenase 1; glucose-6-phosphate dehydrogenase, salivary; Gpd1; Gpd-1; H6pd; H6pdh; hexose-6-phosphate dehydrogenase (glucose 1-dehydrogenase); hexose-6-phosphate dehydrogenase/glucose 1-dehydrogenase | |
Full length human recombinant protein of human RAB17 produced in HEK293T cell. | |
30 μL | |
Primary | |
Human | |
Liquid |
Product Content Correction
The Fisher Scientific Encompass Program offers items which are not part of our distribution portfolio. These products typically do not have pictures or detailed descriptions. However, we are committed to improving your shopping experience. Please use the form below to provide feedback related to the content on this product.
Product Title
Spot an opportunity for improvement?Share a Content Correction