Promotional price valid on web orders only. Your contract pricing may differ. Interested in signing up for a dedicated account number?
Learn More
Learn More
Invitrogen™ HACE1 Polyclonal Antibody

Rabbit Polyclonal Antibody
Supplier: Invitrogen™ PA5117159
Description
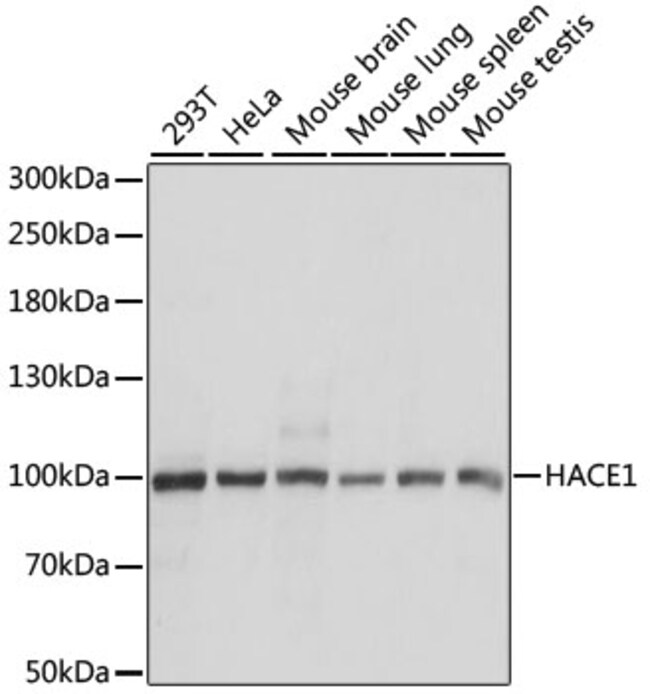
Positive Samples: 293T, HeLa, Mouse brain, Mouse lung, Mouse spleen, Mouse testis Immunogen sequence: MERAMEQLNR LTRSLRRART VELPEDNETA VYTLMPMVMA DQHRSVSELL SNSKFDVNYA FGRVKRSLLH IAANCGSVEC LVLLLKKGAN PNYQDISGCT.
E3 ubiquitin-protein ligase involved in Golgi membrane fusion and regulation of small GTPases. Acts as a regulator of Golgi membrane dynamics during the cell cycle: recruited to Golgi membrane by Rab proteins and regulates postmitotic Golgi membrane fusion. Acts by mediating ubiquitination during mitotic Golgi disassembly, ubiquitination serving as a signal for Golgi reassembly later, after cell division. Specifically interacts with GTP-bound RAC1, mediating ubiquitination and subsequent degradation of active RAC1, thereby playing a role in host defense against pathogens. May also act as a transcription regulator via its interaction with RARB.
Specifications
| HACE1 | |
| Polyclonal | |
| Unconjugated | |
| HACE1 | |
| 1700042J16Rik; A730034A22Rik; BC025474; E3 ubiquitin-protein ligase HACE1; hace 1; Hace1; HECT domain and ankyrin repeat containing E3 ubiquitin protein ligase 1; HECT domain and ankyrin repeat containing, E3 ubiquitin protein ligase 1; HECT domain and ankyrin repeat-containing E3 ubiquitin-protein ligase 1; HECT-type E3 ubiquitin transferase HACE1; KIAA1320; SPPRS | |
| Rabbit | |
| Affinity chromatography | |
| RUO | |
| 209462, 361866, 57531 | |
| -20°C, Avoid Freeze/Thaw Cycles | |
| Liquid |
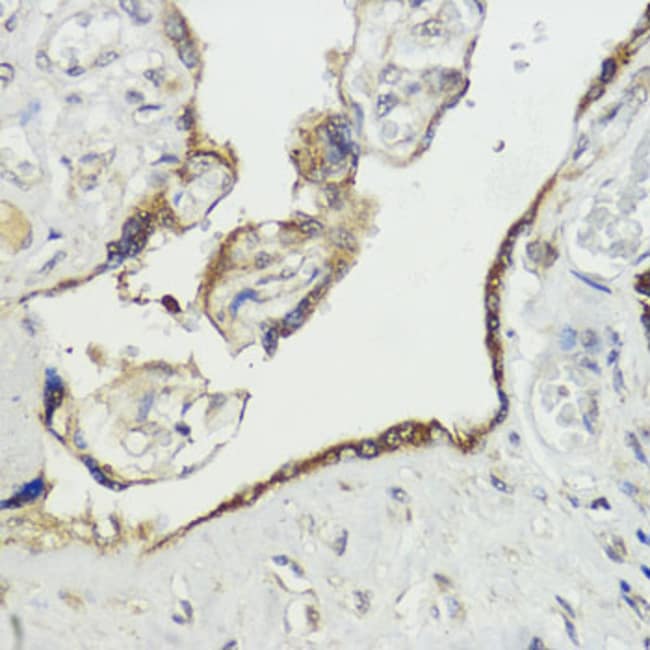
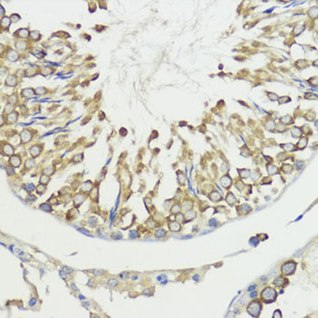
| ELISA, Immunohistochemistry (Paraffin), Western Blot | |
| 0.65 mg/mL | |
| PBS with 50% glycerol and 0.01% thimerosal; pH 7.3 | |
| D3ZBM7, Q3U0D9, Q8IYU2 | |
| HACE1 | |
| A synthetic peptide corresponding to a sequence within amino acids 1-100 of human HACE1 (NP_0658222). | |
| 100 μL | |
| Primary | |
| Human, Mouse, Rat | |
| Antibody | |
| IgG |
Product Content Correction
Your input is important to us. Please complete this form to provide feedback related to the content on this product.
Product Title
Spot an opportunity for improvement?Share a Content Correction