Promotional price valid on web orders only. Your contract pricing may differ. Interested in signing up for a dedicated account number?
Learn More
Learn More
Invitrogen™ HAPLN2 Polyclonal Antibody

Rabbit Polyclonal Antibody
Supplier: Invitrogen™ PA520497
Description
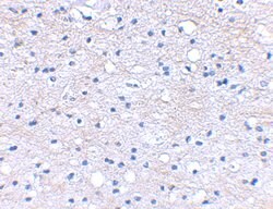
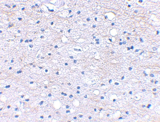
A suggested positive control is human brain tissue lysate. PA5-20497 can be used with blocking peptide PEP-0617.
BRAL1 is a member a superfamily consisting of several highly homologous hyaluronan and proteoglycan binding link proteins. BRAL1 is predominantly expressed in brain tissue and spinal cord. Like other members in the link-module superfamily, BRAL1 contains an immunoglobulin-like fold and two proteoglycan tandem repeats (PTRs). Its mRNA expression pattern is similar to other lectican proteoglycans, suggesting that BRAL1 may act to stabilize the binding between the extracellular matrix molecule hyaluronan and brevican. Immunostaining of mouse brain showed BRAL1 expression at P20 in the white matter of the developing cerebellum and in myelinated fiber tracts in the adult brain, suggesting that expression starts when axonal myelination occurs.
Specifications
| HAPLN2 | |
| Polyclonal | |
| Unconjugated | |
| HAPLN2 | |
| 4930401E20Rik; Brain link protein 1; brain link protein-1; Bral1; HAPLN2; Hyaluronan and proteoglycan link protein 2; RP11-284F21.6 | |
| Rabbit | |
| Antigen affinity chromatography | |
| RUO | |
| 60484, 64057, 73940 | |
| 4°C, do not freeze | |
| Liquid |
| Immunohistochemistry, Western Blot, Immunocytochemistry | |
| 1 mg/mL | |
| PBS with 0.02% sodium azide | |
| Q9ESM2, Q9ESM3, Q9GZV7 | |
| HAPLN2 | |
| a 12 amino acid peptide from near the center of human BRAL1. | |
| 100 μg | |
| Primary | |
| Human, Mouse, Rat | |
| Antibody | |
| IgG |
Product Content Correction
Your input is important to us. Please complete this form to provide feedback related to the content on this product.
Product Title
Spot an opportunity for improvement?Share a Content Correction