Promotional price valid on web orders only. Your contract pricing may differ. Interested in signing up for a dedicated account number?
Learn More
Learn More
HCCS Rabbit anti-Human, Mouse, Rat, Polyclonal, Proteintech

Rabbit Polyclonal Antibody
Supplier: Proteintech Group Inc 151181AP150UL
Description
CCHL (cytochrome c-type heme lyase), also known as HCCS (holocytochrome c-type synthase), is a 268 amino acid mitochondrial inner membrane protein that belongs to the cytochrome c-type heme lyase family. Containing two HRM (heme regulatory motif) repeats, HCCS participates in the covalent linkage of a heme group to an apoprotein of cytochrome c. The gene encoding HCCS maps to the human X chromosome. Defects to this gene cause microphthalmia syndromic type 7 (MCOPS7), also known as MIDAS syndrome or microphthalmia with linear skin defects (MLS). MCOPS7 is an X-linked male-lethal disorder that results in eye deformation, unilateral or bilateral microphthalmia, linear skin defects in affected females, and in utero lethality for males.Specifications
| HCCS | |
| Polyclonal | |
| Unconjugated | |
| HCCS | |
| CCHL, Cytochrome c type heme lyase, HCCS, Holocytochrome c type synthase, MCOPS7 | |
| Rabbit | |
| Antigen Affinity Chromatography | |
| RUO | |
| 15159, 3052, 317444 | |
| -20°C | |
| Liquid |
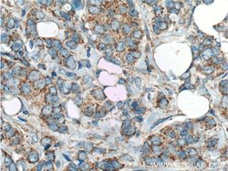
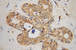
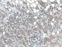
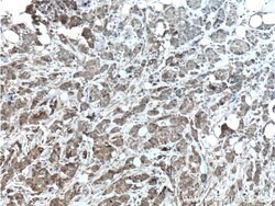
| Immunocytochemistry, Immunofluorescence, Immunohistochemistry (Paraffin), Immunoprecipitation, Western Blot | |
| 0.69 mg/mL | |
| PBS with 50% glycerol and 0.02% sodium azide; pH 7.3 | |
| P53701, P53702 | |
| Hccs | |
| HCCS Fusion Protein Ag7189 | |
| 150 μL | |
| Primary | |
| Human, Mouse, Rat | |
| Antibody | |
| IgG |
Product Content Correction
The Fisher Scientific Encompass Program offers items which are not part of our distribution portfolio. These products typically do not have pictures or detailed descriptions. However, we are committed to improving your shopping experience. Please use the form below to provide feedback related to the content on this product.
Product Title
Spot an opportunity for improvement?Share a Content Correction