Learn More
Invitrogen™ HCK Monoclonal Antibody (3D12E10)

Description
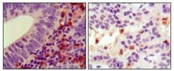
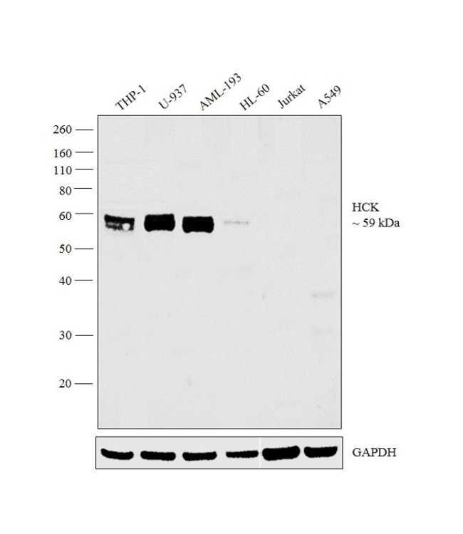
MA5-15371 targets HCK in indirect ELISA, IHC and WB applications and shows reactivity with Human samples. The MA5-15371 immunogen is purified recombinant fragment of HCK expressed in E. Coli..
Specifications
Specifications
| Antigen | HCK |
| Applications | ELISA, Immunohistochemistry (Paraffin), Western Blot |
| Classification | Monoclonal |
| Clone | 3D12E10 |
| Concentration | Conc. Not Determined |
| Conjugate | Unconjugated |
| Formulation | ascites with 0.03% sodium azide |
| Gene | HCK |
| Gene Accession No. | P08631 |
| Gene Alias | AI849071; B cell/myeloid kinase; B-cell/myeloid kinase; BMK; HCK; HCK proto-oncogene, Src family tyrosine kinase; Hctk; Hematopoietic cell kinase; hemopoietic cell kinase; hemopoietic cell tyrosine kinase; JTK9; p56Hck; p56-HCK; p56-HCK/p59-HCK; p59Hck; p59-HCK/p60-HCK; p61Hck; tyrosine-protein kinase HCK |
| Show More |
By clicking Submit, you acknowledge that you may be contacted by Fisher Scientific in regards to the feedback you have provided in this form. We will not share your information for any other purposes. All contact information provided shall also be maintained in accordance with our Privacy Policy.