Promotional price valid on web orders only. Your contract pricing may differ. Interested in signing up for a dedicated account number?
Learn More
Learn More
Invitrogen™ HDAC2 Polyclonal Antibody

Rabbit Polyclonal Antibody
Supplier: Invitrogen™ PA5140977
This item is not returnable.
View return policy
Description
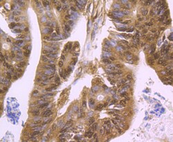
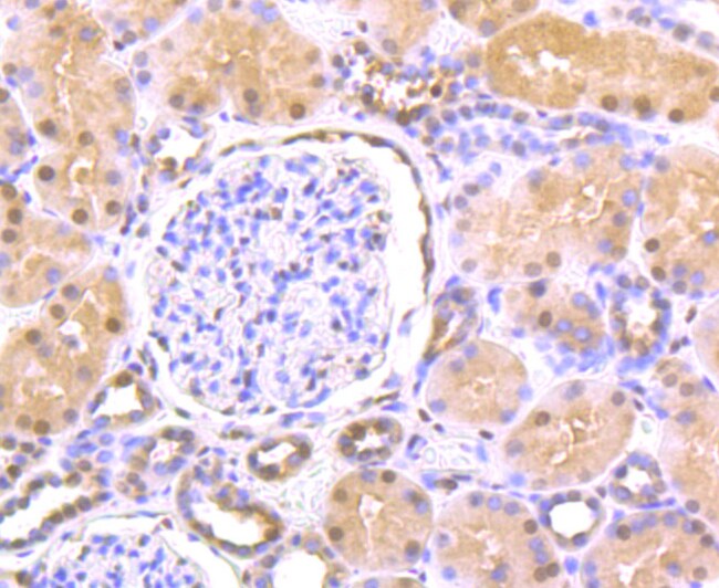
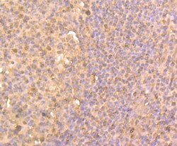
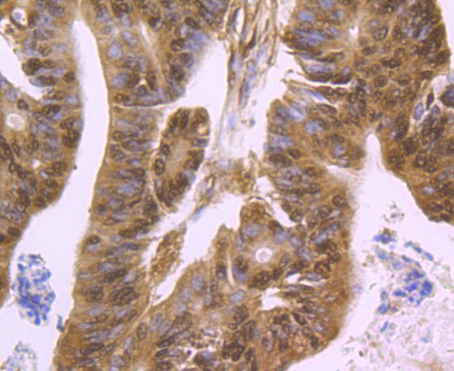
HDAC2 Polyclonal Antibody for Western Blot, ICC/IF, IHC (P), Flow
HDAC2 belongs to the histone deacetylase family. Histone deacetylases act via the formation of large multiprotein complexes and are responsible for the deacetylation of lysine residues at the N-terminal regions of core histones (H2A, H2B, H3 and H4). This protein forms transcriptional repressor complexes by associating with many different proteins, including YY1, a mammalian zinc-finger transcription factor. Thus, it plays an important role in transcriptional regulation, cell cycle progression and developmental events. Alternative splicing results in multiple transcript variants.
Specifications
| HDAC2 | |
| Polyclonal | |
| Unconjugated | |
| HDAC2 | |
| D10Wsu179e; HD2; hdac 2; Hdac2; hdac-2; Histone deacetylase 2; histone deacetylase 2-like protein; histone deacetylase-2; I79_010219; mRPD3; RPD3; transcriptional regulator homolog RPD3; YAF1; YY1 transcription factor-binding protein; YY1-associated factor 1; Yy1bp | |
| Rabbit | |
| Antigen Affinity Chromatography | |
| RUO | |
| 15182, 3066, 84577 | |
| Store at 4°C short term. For long term storage, store at -20°C, avoiding freeze/thaw cycles. | |
| Liquid |
| Flow Cytometry, Immunohistochemistry (Paraffin), Western Blot, Immunocytochemistry | |
| 1 mg/mL | |
| PBS with 0.2% BSA, 50% glycerol and 0.05% sodium azide; pH 7.4 | |
| P70288, Q92769 | |
| HDAC2 | |
| Recombinant protein within C-terminal human Histone Deacetylase 2. | |
| 100 μL | |
| Primary | |
| Human, Mouse, Rat | |
| Antibody | |
| IgG |
Product Content Correction
Your input is important to us. Please complete this form to provide feedback related to the content on this product.
Product Title
Spot an opportunity for improvement?Share a Content Correction