Learn More
HDHD1 Mouse anti-Canine, Human, Rat, Clone: OTI2E10, lyophilized, TrueMAB™

Mouse Monoclonal Antibody
Supplier: OriGene CF502621
Description
Reconstitute with PBS (pH 7.3) and recommend to perform another round of desalting process using Product No. 7KMWCO
This gene encodes a member of the haloacid dehalogenase-like (HAD) hydrolase superfamily. The encoded protein has no known biological function. This gene has a pseudogene on chromosome 1. Multiple alternatively spliced transcript variants encoding different isoforms have been identified.Specifications
| HDHD1 | |
| Monoclonal | |
| Unconjugated | |
| PUDP | |
| DXF68S1E, FAM16AX, GS1, HDHD1, HDHD1A | |
| Mouse | |
| Affinity Chromatography | |
| RUO | |
| 291585, 610678, 8226 | |
| -20° C, Avoid Freeze/Thaw Cycles | |
| Lyophilized |
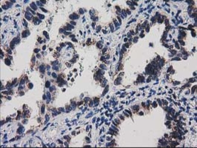
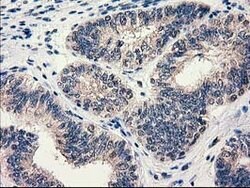
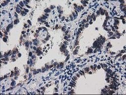
| Flow Cytometry, Immunohistochemistry (Paraffin), Western Blot | |
| OTI2E10 | |
| PBS with 8% trehalose and no preservative; pH 7.3 | |
| Q08623 | |
| PUDP | |
| Full length human recombit protein of human HDHD1A produced in HEK293T cell. | |
| 100 μg | |
| Primary | |
| Canine, Human, Rat | |
| Antibody | |
| IgG1 |
The Fisher Scientific Encompass Program offers items which are not part of our distribution portfolio. These products typically do not have pictures or detailed descriptions. However, we are committed to improving your shopping experience. Please use the form below to provide feedback related to the content on this product.