Promotional price valid on web orders only. Your contract pricing may differ. Interested in signing up for a dedicated account number?
Learn More
Learn More
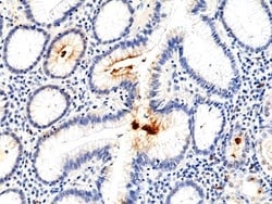
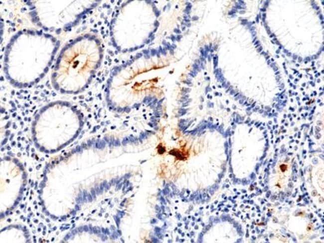
Invitrogen™ Helicobacter pylori Recombinant Rabbit Monoclonal Antibody (RM400)

Rabbit Recombinant Monoclonal Antibody
Supplier: Invitrogen™ MA536068
Description
Helicobacter pylori Recombinant Monoclonal Antibody for IHC (P)
Helicobacter Pylori (H. Pylori) is known to cause peptic ulcers and chronic gastritis in human. It is associated with duodenal ulcers and may be involved in development of adenocarcimona and low grade lymphoma of mucosa associated lymphoid tissue in the stomach. It is a microaerophilic gram-Negative bacterium, helix-shaped, and with many diverse strains.
Specifications
Helicobacter pylori | |
Recombinant Monoclonal | |
0.04 mg/mL | |
PBS with 1% BSA, 50% glycerol and 0.09% sodium azide | |
Rabbit | |
Protein A | |
RUO | |
Bacteria | |
Antibody | |
IgG |
Immunohistochemistry (Paraffin) | |
RM400 | |
Unconjugated | |
H. pylori | |
Proteins purified from Helicobacter pylori. | |
100 μL | |
Primary | |
-20°C | |
Liquid |
Product Content Correction
Your input is important to us. Please complete this form to provide feedback related to the content on this product.
Product Title
Spot an opportunity for improvement?Share a Content Correction