Promotional price valid on web orders only. Your contract pricing may differ. Interested in signing up for a dedicated account number?
Learn More
Learn More
Invitrogen™ Hemoglobin Polyclonal Antibody, Invitrogen™
Rabbit Polyclonal Antibody
Supplier: Invitrogen™ PA5145254
Description
The human alpha globin gene cluster located on chromosome 16 spans about 30 kb and includes seven loci: 5'- zeta - pseudozeta - mu - pseudoalpha-1 - alpha-2 - alpha-1 - theta - 3'. The alpha-2 (HBA2) and alpha-1 (HBA1) coding sequences are identical. These genes differ slightly over the 5' untranslated regions and the introns, but they differ significantly over the 3' untranslated regions. Two alpha chains plus two beta chains constitute HbA, which in normal adult life comprises about 97% of the total hemoglobin; alpha chains combine with delta chains to constitute HbA-2, which with HbF (fetal hemoglobin) makes up the remaining 3% of adult hemoglobin. Alpha thalassemias result from deletions of each of the alpha genes as well as deletions of both HBA2 and HBA1; some nondeletion alpha thalassemias have also been reported.
Specifications
Hemoglobin | |
Polyclonal | |
Unconjugated | |
HBA1 | |
alpha one globin; alpha-1 globin; alpha-1-globin; alpha-2 globin chain; Alpha-globin; ALPHA-GLOBIN GENE; delta globin; Haemoglobin; Hb; HBA1; HbA1c; HBA2; HBA-T3; HBH; hemoglobin alpha 1 globin chain; Hemoglobin alpha chain; Hemoglobin subunit alpha; hemoglobin subunit alpha 1; hemoglobin, alpha 1 | |
Rabbit | |
Antigen affinity chromatography, Protein A | |
RUO | |
3039, 3043, 407066 | |
Store at 4°C short term. For long term storage, store at -20°C, avoiding freeze/thaw cycles. | |
Liquid |
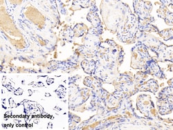
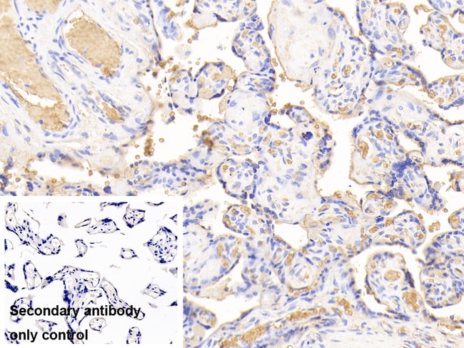
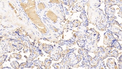
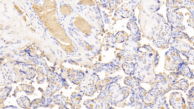
Immunohistochemistry (Paraffin), Western Blot, Western Blot | |
0.5 mg/mL | |
PBS with 50% glycerol and 0.05% Proclin 300; pH 7.4 | |
P02067, P68871, P69905 | |
HBA1, HBB | |
Recombinant Hemoglobulin expressed in Simian (Accession # NPB409Si01). | |
20 μL | |
Primary | |
Canine, Human, Monkey, Pig | |
Antibody | |
IgG |
Product Content Correction
Your input is important to us. Please complete this form to provide feedback related to the content on this product.
Product Title
Spot an opportunity for improvement?Share a Content Correction