Promotional price valid on web orders only. Your contract pricing may differ. Interested in signing up for a dedicated account number?
Learn More
Learn More
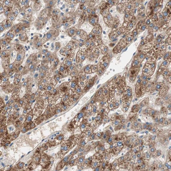
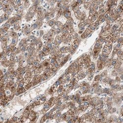
Invitrogen™ Hepsin Polyclonal Antibody

Rabbit Polyclonal Antibody
Supplier: Invitrogen™ PA582265
Description
Immunogen sequence: FDKTEGTWRL LCSSRSNARV AGLSCEEMGF LRALTHSELD VRTAGANGTS GFFCVDEGRL PHTQRLLEVI SVCDCPRGRF LAAICQDCGR RKLPVDRIVG GRDTSLGRWP WQVSLRYDGA HL Highest antigen sequence indentity to the following orthologs: Mouse - 91%, Rat - 90%.
Hepsin, encoded by the HPN gene, is a type II transmembrane serine protease prominently expressed in tissues such as the liver, kidney, and prostate. Hepsin plays a crucial role in proteolytic processes involved in extracellular matrix remodeling, cell growth, and development. It is known for activating precursor molecules, including hepatocyte growth factor (HGF), which is essential for liver development and regeneration. Furthermore, hepsin's involvement extends to influencing cell signaling pathways related to tissue homeostasis and repair. In the context of cancer, particularly prostate cancer, hepsin is implicated in tumor progression and metastasis by promoting extracellular matrix degradation, thereby facilitating tumor invasion and spread. Aberrant expression or activity of hepsin is associated with pathophysiological changes in the tumor microenvironment, making it a target for therapeutic interventions aimed at controlling cancer progression. Research continues to explore hepsin's biochemical functions and regulatory mechanisms, providing insights into its potential roles in both normal physiology and disease states.
Specifications
| Hepsin | |
| Polyclonal | |
| Unconjugated | |
| HPN | |
| hepsin; hepsin (transmembrane protease, serine 1); Hlb320; HPN; Serine protease hepsin; Serine protease hepsin catalytic chain; Serine protease hepsin non-catalytic chain; testicular tissue protein Li 85; TMPRSS1; Transmembrane protease serine 1 | |
| Rabbit | |
| Antigen affinity chromatography | |
| RUO | |
| 3249 | |
| Store at 4°C short term. For long term storage, store at -20°C, avoiding freeze/thaw cycles. | |
| Liquid |
| Immunohistochemistry (Paraffin) | |
| 0.1 mg/mL | |
| PBS with 40% glycerol and 0.02% sodium azide; pH 7.2 | |
| P05981 | |
| HPN | |
| Recombinant protein corresponding to Human HPN. Recombinant protein control fragment (Product #RP-89245). | |
| 100 μL | |
| Primary | |
| Human | |
| Antibody | |
| IgG |
Product Content Correction
Your input is important to us. Please complete this form to provide feedback related to the content on this product.
Product Title
Spot an opportunity for improvement?Share a Content Correction