Learn More
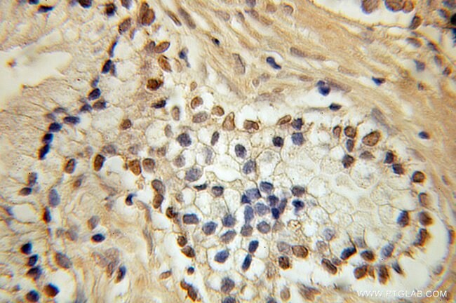
HEY2 Rabbit anti-Human, Mouse, Rat, Polyclonal, Proteintech

Rabbit Polyclonal Antibody
Supplier: Proteintech Group Inc 105971AP150UL
Description
This antibody is a rabbit polyclonal antibody raised against full length of human HEY2.
Downstream effector of Notch signaling which may be required for cardiovascular development. Transcriptional repressor which binds preferentially to the canonical E box sequence 5′-CACGTG-3′. Represses transcription by the cardiac transcriptional activators GATA4 and GATA6.Specifications
| HEY2 | |
| Polyclonal | |
| Unconjugated | |
| HEY2 | |
| bHLHb32, CHF1, GRIDLOCK, GRL, hCHF1, HERP, HERP1, HESR 2, HESR2, HEY2, hHRT2, HRT 2, HRT2, Protein gridlock homolog | |
| Rabbit | |
| Antigen Affinity Chromatography | |
| RUO | |
| 15214, 155430, 23493 | |
| -20°C | |
| Liquid |
| Immunocytochemistry, Immunofluorescence, Immunohistochemistry (Paraffin), Immunoprecipitation, Western Blot | |
| 0.3 mg/mL | |
| PBS with 50% glycerol and 0.1% sodium azide; pH 7.3 | |
| Q9QUS4, Q9UBP5 | |
| HEY2 | |
| HEY2 Fusion Protein Ag0913 | |
| 150 μL | |
| Primary | |
| Human, Mouse, Rat | |
| Antibody | |
| IgG |
The Fisher Scientific Encompass Program offers items which are not part of our distribution portfolio. These products typically do not have pictures or detailed descriptions. However, we are committed to improving your shopping experience. Please use the form below to provide feedback related to the content on this product.