Promotional price valid on web orders only. Your contract pricing may differ. Interested in signing up for a dedicated account number?
Learn More
Learn More
Invitrogen™ HIGD2A Polyclonal Antibody

Rabbit Polyclonal Antibody
Supplier: Invitrogen™ PA5117984
This item is not returnable.
View return policy
Description
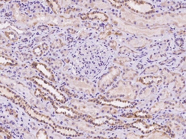
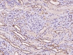
HIGD2A Polyclonal Antibody for Western Blot, ICC/IF, IHC (P), IP
HIGD2A is a proposed subunit of cytochrome c oxidase (COX, complex IV), which is the terminal component of the mitochondrial respiratory chain that catalyzes the reduction of oxygen to water. It may be involved in cytochrome c oxidase activity. It may play a role in the assembly of respiratory supercomplexes.
Specifications
| HIGD2A | |
| Polyclonal | |
| PBS with 0.03% ProClin 300; pH 7 | |
| Q9BW72 | |
| HIGD2A | |
| E. coli-derived Human HIGD2A fragment. | |
| 100 μL | |
| Primary | |
| Human | |
| Antibody | |
| IgG |
| Immunohistochemistry (Paraffin), Immunoprecipitation, Western Blot, Immunocytochemistry | |
| Unconjugated | |
| HIGD2A | |
| 2010110M21Rik; AA690237; HIG1 domain family member 2A; HIG1 domain family member 2A, mitochondrial; HIG1 domain family, member 2A; HIG1 hypoxia inducible domain family member 2A; HIG1 hypoxia inducible domain family, member 2A; Higd2a; RCF1 homolog B; RCF1b | |
| Rabbit | |
| Antigen Affinity Chromatography, Protein A | |
| RUO | |
| 192286 | |
| -20°C, Avoid Freeze/Thaw Cycles | |
| Liquid |
Safety and Handling
WARNING: Cancer - www.P65Warnings.ca.gov
Product Content Correction
Your input is important to us. Please complete this form to provide feedback related to the content on this product.
Product Title
Spot an opportunity for improvement?Share a Content Correction