Promotional price valid on web orders only. Your contract pricing may differ. Interested in signing up for a dedicated account number?
Learn More
Learn More
Invitrogen™ HIP1 Polyclonal Antibody

Rabbit Polyclonal Antibody
Supplier: Invitrogen™ PA5109238
Description
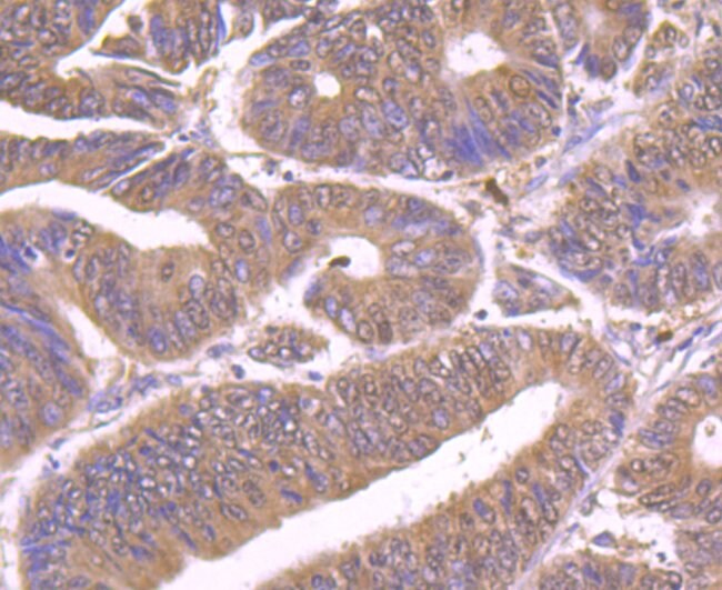
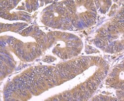
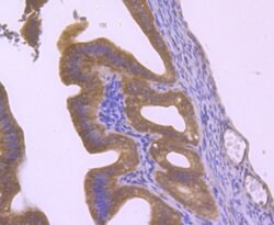
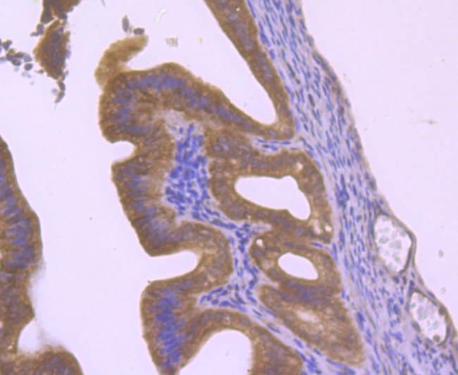
Positive Control: Mouse testis tissue lysate, Mouse spinal cord tissue lysate, A549, PC-3M, SH-SY5Y, human colon cancer tissue, mouse brain tissue, mouse fallopian tubes tissue.
Huntingtin disease, a neurodegenerate disease, is caused by the expansion of a polymorphic glutamine tract in huntingtin. The Huntingtin Interacting Protein 1 (HIP-1) is a reportedly proapoptotic, cargo-specific adaptor protein that may be involved in the pathogenesis of Huntingtin disease. As well as playing a role in Huntingtin disease, it is likely to be involved in the recruitment of clathrin coats to lipid membranes and it may also factor in tumorigenesis by allowing the survival of precancerous and cancerous cells. Since HIP-1 expression is significantly associated with prostate and colon cancer metastasis, HIP-1 can serve as a putative prognostic factor for prostate and colon cancers.
Specifications
| HIP1 | |
| Polyclonal | |
| Unconjugated | |
| HIP1 | |
| 2610109B09Rik; A930014B11Rik; E130315I21Rik; HIP I; hip1; HIP-1; HIP-I; huntingtin interacting protein 1; huntingtin-interacting protein 1; Huntingtin-interacting protein I; ILWEQ; Kiaa4113; mKIAA4113; SHON; SHONbeta; SHONgamma | |
| Rabbit | |
| Affinity chromatography | |
| RUO | |
| 215114, 3092 | |
| -20°C, Avoid Freeze/Thaw Cycles, store in dark | |
| Liquid |
| Flow Cytometry, Immunohistochemistry (Paraffin), Western Blot, Immunocytochemistry | |
| 1 mg/mL | |
| PBS with 0.2% BSA, 50% glycerol and 0.05% sodium azide; pH 7.4 | |
| O00291, Q8VD75 | |
| HIP1 | |
| Synthetic peptide within mouse Hip1 aa 980-1,029. | |
| 100 μL | |
| Primary | |
| Human, Mouse | |
| Antibody | |
| IgG |
Product Content Correction
Your input is important to us. Please complete this form to provide feedback related to the content on this product.
Product Title
Spot an opportunity for improvement?Share a Content Correction