Learn More
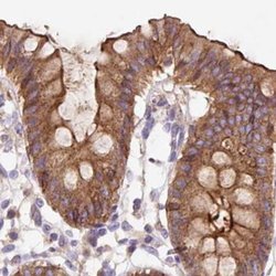
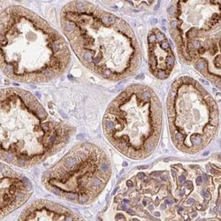
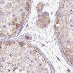
Invitrogen™ HIP1R Polyclonal Antibody

Description
Immunogen sequence: RESQEQGLRQ RLLDEQFAVL RGAAAEAAGI LQDAVSKLDD PLHLRCTSSP DYLVSRAQEA LDAVSTLEEG HAQYLTSLAD ASALVAALTR FSHLAADTII NGGATSHLA Highest antigen sequence identity to the following orthologs: Mouse - 85%, Rat - 87%.
Specifications
Specifications
| Antigen | HIP1R |
| Applications | Immunohistochemistry (Paraffin), Western Blot, Immunocytochemistry |
| Classification | Polyclonal |
| Concentration | 0.4 mg/mL |
| Conjugate | Unconjugated |
| Formulation | PBS with 40% glycerol and 0.02% sodium azide; pH 7.2 |
| Gene | HIP1R |
| Gene Accession No. | O75146 |
| Gene Alias | AA410023; HIP12; HIP-12; Hip1r; HIP1-related protein; HIP3; huntingtin interacting protein 1 related; huntingtin interacting protein 12; Huntingtin-interacting protein 12; huntingtin-interacting protein 1-related protein; ILWEQ; KIAA0655; mKIAA0655 |
| Gene Symbols | HIP1R |
| Show More |
By clicking Submit, you acknowledge that you may be contacted by Fisher Scientific in regards to the feedback you have provided in this form. We will not share your information for any other purposes. All contact information provided shall also be maintained in accordance with our Privacy Policy.