Promotional price valid on web orders only. Your contract pricing may differ. Interested in signing up for a dedicated account number?
Learn More
Learn More
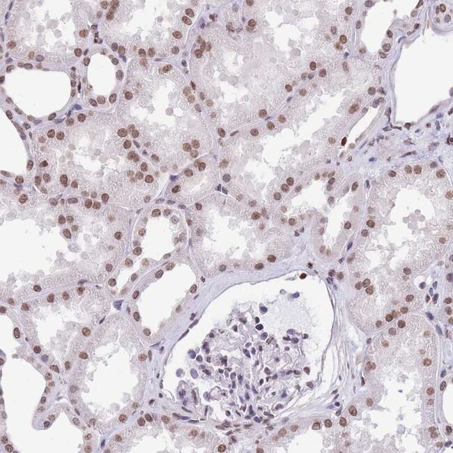
HIST3H2BB Polyclonal Antibody

HIST3H2BB Polyclonal Antibody
Supplier: Thermo Scientific PA561799
Description
HIST3H2BB Polyclonal Antibody for ICC/IF, IHC

Specifications
HIST3H2BB | |
Polyclonal | |
Unconjugated | |
H2BU1 | |
H2B type 12; H2Bb; HIST3H2BB; histone 3, H2bb; histone cluster 3, H2bb; histone H2B type 3-B | |
Rabbit | |
Antigen affinity chromatography | |
RUO | |
128312 | |
Store at 4°C short term. For long term storage, store at -20°C, avoiding freeze/thaw cycles. | |
Liquid |
Immunohistochemistry (Paraffin), Immunocytochemistry | |
0.05 mg/mL | |
PBS with 40% glycerol and 0.02% sodium azide; pH 7.2 | |
Q8N257 | |
H2BU1 | |
Recombinant protein corresponding to Human HIST3H2BB. | |
100 μL | |
Primary | |
Human | |
Antibody | |
IgG |
Safety and Handling
WARNING: Cancer - www.P65Warnings.ca.gov
Product Content Correction
Your input is important to us. Please complete this form to provide feedback related to the content on this product.
Product Title
Spot an opportunity for improvement?Share a Content Correction