Promotional price valid on web orders only. Your contract pricing may differ. Interested in signing up for a dedicated account number?
Learn More

Histone H2A (hydroxyl Y39) Rabbit anti-Human, Unconjugated, Clone: DED-8, Abnova™

Rabbit Monoclonal Antibody.

Supplier:  Abnova Corporation MAB20142

Catalog No. 89-336-542


Only null left
Add to Cart

Description

Description

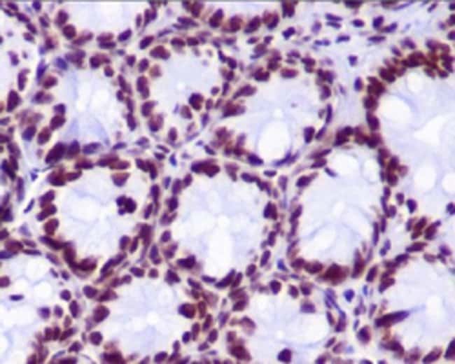
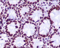
Histone H2A (hydroxyl Y39) Monoclonal antibody specifically detects Histone H2A (hydroxyl Y39) in Human samples. It is validated for WB, IHC-P.
Specifications

Specifications

Histone H2A (hydroxyl Y39)
Monoclonal
Unconjugated
A synthetic hydroxyl peptide corresponding to residues surrounding Y39 of Histone H2A
Primary
Store at -20°C for one year. After reconstitution, at 4°C for one month. It can also be aliquotted and stored frozen at -20°C for a longer time. Avoid repeated freezing and thawing.
IgG
Western Blot, Immunohistochemistry (Paraffin)
DED-8
Rabbit
100 μg
Human
Liquid
Product Suggestions

Product Suggestions

Videos
SDS
Documents

Documents

Product Certifications
Promotions

Promotions

Product Content Correction

Your input is important to us. Please complete this form to provide feedback related to the content on this product.

Product Title

By clicking Submit, you acknowledge that you may be contacted by Fisher Scientific in regards to the feedback you have provided in this form. We will not share your information for any other purposes. All contact information provided shall also be maintained in accordance with our Privacy Policy.

Your feedback has been submitted: Thank you for helping us improve our website.