Promotional price valid on web orders only. Your contract pricing may differ. Interested in signing up for a dedicated account number?
Learn More
Learn More
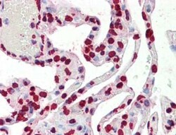
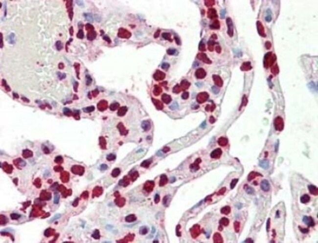
Histone H3 Antibody, Novus Biologicals™

Rabbit Polyclonal Antibody
Supplier: Novus Biologicals NBP244215
Description
Specifically detects HIST1H3A in C. elegans, Canine, Chicken, Drosophila, Human, Monkey, Mouse, Plant, Rat, Xenopus samples, and it is validated for ELISA, Immunohistochemistry (Paraffin), Western Blotting
Histone H3 Polyclonal specifically detects Histone H3 in Human samples. It is validated for Western Blot, ELISA, Immunohistochemistry, Immunohistochemistry-Paraffin.Specifications
Histone H3 | |
Polyclonal | |
Unconjugated | |
0.02 M Potassium Phosphate, 0.15 M Sodium Chloride, pH 7.2 with 0.01% Sodium Azide | |
H3, H3 histone, family 3A, H3.3A, H3.3B, H3F2, H3F3, H3F3B, H3FM, HIST2H3C, histone H3.3, MGC87782, MGC87783 | |
Rabbit | |
Delipidation and Defibrination | |
RUO | |
126961 | |
Store at -20°C. Avoid freeze-thaw cycles. |
Western Blot, ELISA, Immunohistochemistry, Immunohistochemistry (Paraffin) | |
83 mg/mL | |
Western Blot 1:2000, ELISA 1:10000, Immunohistochemistry 1:100, Immunohistochemistry-Paraffin | |
P68431 | |
H3C14 | |
Histone H3 Antibody was prepared from whole rabbit serum produced by repeated immunizations with a peptide corresponding to the c-terminus region of human Histone H3. (Uniprot: P68431) | |
0.1 mL | |
Primary | |
Human |
Product Content Correction
Your input is important to us. Please complete this form to provide feedback related to the content on this product.
Product Title
For Research Use Only
Spot an opportunity for improvement?Share a Content Correction